Atezolizumab in the first-line treatment of metastatic non-small cell lung cancer. Clinical experience of the drug application. Case report
- Authors: Ognerubov N.A.1, Antipova T.S.2
-
Affiliations:
- Derzhavin Tambov State University
- LLC "PET-Technology"
- Issue: Vol 24, No 1 (2022)
- Pages: 50-60
- Section: CLINICAL ONCOLOGY
- Submitted: 27.04.2022
- Accepted: 27.04.2022
- Published: 30.04.2022
- URL: https://modernonco.orscience.ru/1815-1434/article/view/106844
- DOI: https://doi.org/10.26442/18151434.2022.1.201478
- ID: 106844
Cite item
Full Text
Abstract
Background. Lung cancer is still the leading cause of cancer morbidity and mortality among both men and women. At the same time, non-small cell lung cancer (NSCLC) accounts for 85% of all cases of malignant tumors. Historically, the treatment for locally advanced and metastatic lung cancer was consisted of systemic cytotoxic therapy. The main aim was to destroy tumor cells, to reduce the severity of the disease manifestations, to improve the quality of life and to prolong survival. Recent discovery of mutations in the epidermal growth factor receptor (EGFR) gene and ALK translocations or proto-oncogene 1 (ROS1) has led to a paradigm shift and the development of molecularly oriented therapeutic agents and options, such as targeted therapy as well as immunotherapy using immune checkpoint inhibitors.
Aim. Present the efficacy of atezolizumab application in the first-line treatment of metastatic non-small cell lung cancer associated with high PD-L1 expression.
Clinical case report. A 64-year-old patient with T1N3M1 stage IV right lung cancer, brain and right adrenal metastases was under observation. Right supraclavicular lymph node biopsy was performed. The histological examination showed the metastases of squamous cell carcinoma. EGFR-activating mutations, ALK translocations and ROS1 were not detected (wild-type). The immunohistochemical analysis showed a high expression of programmed cell death ligand (PD-L1) – 90%. The patient was treated using atezolizumab 1200 mg every 21 days in monoregimen. The patient was receiving 50 injections of the drug for almost 3 years. The effect of the therapy was evaluated using hybrid 18-F-fluorodeoxyglucose PET/CT. The complete metabolic regression of the tumor was obtained after 14 cycles of treatment and was persisting throughout the treatment period for 36 months. Grade 2 neutropenia after 6,7 and 30 cycles of therapy was noted among the adverse effects. Immune-mediated adverse events were not described.
Conclusion. The application of atezolizumab in monoregimen can provide long-term overall survival in patients with untreated metastatic EGFR-negative, ALK-negative NSCLC associated with high PD-L1 expression, as well as a favorable safety profile and quality of life.
Keywords
Full Text
Введение
Рак легкого является одной из ведущих причин смертности. По данным Globоcan, в 2020 г. в мире выявлен 2 206 771 случай рака легкого и 1 796 144 случая смерти от него [1]. Из них немелкоклеточный рак легкого (НМРЛ) составляет 80–85%, он представлен аденокарциномой – 40%, плоско- и крупноклеточной карциномой – 25–30 и 10–15% соответственно. В 57% случаев диагностируют запущенный опухолевый процесс, в связи с чем пятилетняя выживаемость составляет менее 20%. Метод лечения зависит от стадии процесса. У пациентов с метастатическим заболеванием варианты лечения включают химиотерапию, таргетную и иммунотерапию. При этом выбор лечения основан на тестировании драйверных мутаций в генах EGFR, ALK, ROS1 и определении уровня экспрессии PD-L1 [2]. Последний позволяет прогнозировать ответ на иммунотерапию антителом PD-L1 [3].
В настоящее время стандартная терапия метастатического НМРЛ 1-й линии включает монотерапию ингибиторами контрольных точек, ингибиторами контрольных точек в сочетании с химиотерапией, с бевацизумабом или комбинацию с двумя ингибиторами контрольных точек [3–6]. Достижения в вариантах лечения 1-й линии за счет включения ингибиторов контрольных точек иммунного ответа значительно улучшили клинические исходы у пациентов с метастатическим НМРЛ [4, 7].
Мы приводим собственный клинический опыт длительного применения ингибитора контрольных точек иммунного ответа PD-L1 атезолизумаба в монорежиме при метастатическом НМРЛ с высоким уровнем экспрессии PD-L1.
Клинический случай
Пациент Н.,64 года, считает себя больным с октября 2018 г., когда появилась осиплость голоса, кашель с мокротой, потливость, повышение температуры тела к вечеру до 37,6°С, потеря массы тела на 6 кг. В декабре 2018 г. возникла одышка при физической нагрузке. Пациент обнаружил опухолевый узел над ключицей справа. Из анамнеза известно, что больной курит с 14 лет по 1,5 пачки сигарет в день.
Объективно. Статус ECOG (Eastern Cooperative Oncology Group, шкала оценки общего состояния онкологического пациента) – 1. Кожный покров обычной окраски. При перкуссии – легочный звук. При аускультации в легких – жесткое дыхание с рассеянными сухими хрипами справа. В надключичной области справа пальпируется лимфатический узел размером 2×1,6 см, плотный, несмещаемый, метастатического характера.
Известно, что пациент на протяжении длительного времени страдает гипертонической болезнью III стадии, риск 4, хроническая сердечная недостаточность 1, нестабильная стенокардия. По поводу этого в 2015 г. выполнено аортокоронарное шунтирование с имплантацией стентов.
Обследование. Спиральная компьютерная томография (КТ) органов грудной клетки от 14.12.2018. Справа в S6 определяется очаговое образование диаметром 9 мм. В верхнем средостении имеется объемное образование размером 33×36×35 мм. Выполнена бронхоскопия от 14.12.2018. Обнаружен парез левой голосовой связки. Произведена пункция надключичного лимфатического узла. Цитологически от 18.12.1018: метастаз низкодифференцированного рака. По данным магнитно-резонансной томографии (МРТ) головного мозга с контрастом 25.01.2019, в левой затылочной доле определяется образование размером 34×12 мм с перифокальной зоной отека. Заключение: метастаз в затылочную долю слева (рис. 1).
Рис. 1. Пациент Н.,64 года. На T2-FLAIR-аксиальной и корональной проекциях в левой затылочной доле определяется образование размером 34×12 мм с перифокальной зоной отека, неоднородно накапливающее контрастный препарат.
Fig. 1. A 64-year-old patient N. Axial and coronal T2 FLAIR images demonstrating a lesion in the left occipital lobe measuring 34×12 mm with perifocal edema; the tumor heterogeneously accumulates the contrast agent.
Для оценки распространенности опухолевого процесса 21.02.2019 выполнена комбинированная позитронно-эмиссионная и рентгеновская КТ (ПЭТ-КТ) с 18-фтордезоксиглюкозой. В субплевральном отделе S6 правого легкого определяется опухоль размером до 12 мм с лучистым контуром, контактирующая с костальной плеврой, с метаболической активностью 18F-фтордезоксиглюкозы (ФДГ), SUVmax=2,09.
В области шеи справа определяются лимфатические узлы: латеральный – до 10 мм, с диффузной фиксацией радиофармпрепарата (SUVmax=2,14); надключичный – 15×10 мм (SUVmax=6,07).
Ретротрахеально справа имеется инфильтрат без четких контуров, сливающийся с правой стенкой пищевода, размером до 19×41×58 мм, с повышенной активностью ФДГ SUVmax=14,30. Обнаружены увеличенные лимфатические узлы: преваскулярные – до 9 мм с повышенной метаболической активностью ФДГ (SUVmax=12,80); паратрахеальные верхней группы – до 12 мм (SUVmax=9,20).
В теле правого надпочечника определяется образование однородной плотности размером до 13×16 мм с повышенной метаболической активностью ФДГ (SUVmax=5,08; рис. 2).
Рис. 2. Пациент Н.,64 года. До лечения. На проекциях максимальной интенсивности (MIP), аксиальных и корональных КТ и ПЭТ/КТ-проекциях в затылочной доле слева имеется аметаболический очаг размером до 17×10 мм. В субплевральном отделе S6 правого легкого определяется образование размером до 12 мм с лучистым контуром, нешироко контактирующее с костальной плеврой, с метаболической активностью ФДГ; SUVmax=2,09. В области шеи справа – увеличенные лимфатические узлы: латеральный – до 10 мм, с диффузной фиксацией РФП (SUVmax=2,14), надключичный – 15×10 мм (SUVmax=6,07). Ретротрахеально справа – инфильтрат без четких контуров, сливающийся с правой стенкой пищевода, размером до 19×41×58 мм, с повышенной активностью ФДГ (SUVmax=14,30). Увеличены лимфатические узлы: преваскулярные – до 9 мм с повышенной метаболической активностью ФДГ (SUVmax=12,80), паратрахеальные верхней группы – до 12 мм (SUVmax=9,2). В теле правого надпочечника – образование однородной плотности размером до 13×16 мм, с повышенной метаболической активностью ФДГ (SUVmax=5,08).
Fig. 2. A 64-year-old patient N. Before the treatment. MIP, axial and coronal CT and PET/CT images showing the nonmetabolic lesion measuring 17×10 mm in the left occipital lobe. The lesion measuring 12 mm with cord-like boundaries and slightly contacting with the costal pleura, with FDG uptake (SUVmax=2,09) is detected in the subpleural section of the right lung S6 segment. There are the enlarged lymph nodes in the right cervical region: lateral lymph nodes measuring 10 mm, with diffuse RFP uptake (SUVmax=2.14), the supraclavicular lymph nodes measuring 15×10 mm (SUVmax=6.07). In the right paratracheal space is an infiltrate with poorly defined boundaries, merging with the right esophageal wall, measuring 19×41×58 mm, without increased RFP uptake (SUVmax=14.30). The lymph nodes are enlarged: the prevascular lymph nodes measuring 9 mm with increased FDG uptake (SUVmax=12.80), the upper paratracheal lymph nodes group measuring 12 mm (SUVmax=9.2). The lesion of a homogeneous density in the right adrenal gland, measuring 13×16 mm, with increased RFP uptake (SUVmax=5.08) is detected.
Установлен окончательный диагноз: «Рак правого легкого, стадия IV, T1N3M1, метастазы в головной мозг и правый надпочечник».
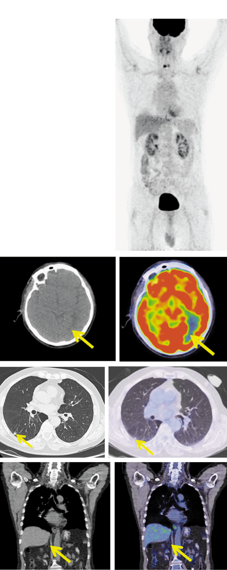
В связи с появлением очаговой симптоматики проведено тотальное облучение головного мозга, разовая очаговая доза (РОД) 5 Гр, суммарная очаговая доза (СОД) 20 Гр, с применением радиомодификатора – темодала. После этого выполнена биопсия надключичного лимфатического узла. При гистологическом и иммуногистохимическом исследовании обнаружены метастазы плоскоклеточного рака. При иммуногистохимическом исследовании уровень экспрессии PD-L1 составил 90%. Активирующих мутаций в генах EGFR, ALK и ROS1 не выявлено. Учитывая распространенность опухолевого процесса, с 08.04.2019 больному начата иммунотерапия ингибитором PD-L1 атезолизумабом в дозе 1200 мг с интервалом 21 день. Проведено 3 цикла. Нежелательных явлений не отмечалось. С целью оценки эффекта проводимой терапии 25.06.2019 (после 3 циклов терапии) выполнена ПЭТ/КТ с 18-ФДГ. В левой затылочной доле очаги фиксации радиофармпрепарата (РФП) не дифференцируется. Латеральный шейный лимфатический узел справа не определяется, надключичный – до 6 мм с фоновой фиксацией, SUVmax=2,35 (ранее – 6,07). Субплеврально в S6 правого легкого – образование размером до 11×13 мм, с метаболичес- кой активностью ФДГ (SUVmax=2,09). В средостении ретротрахеально справа сохраняется инфильтрат, сливающийся с правой стенкой пищевода, размером до 14×23×27 мм, ранее – 19×41×58 мм, с фоновой метаболической активнос- тью ФДГ (SUVmax=3,12, ранее – 14,30).
Лимфатические узлы: преваскулярные – размером до 5 мм (ранее – 9 мм без метаболической активности ФДГ); паратрахеальные верхней группы не дифференцируются. Образование в правом надпочечнике регрессировало. По критериям RECIST v.1.1 получена частичная клинико-метаболическая регрессия (рис. 3).
Рис. 3. Пациент Н.,64 года. После 3 циклов лечения. На MIP, аксиальной и корональной КТ и ПЭТ/КТ-проекциях в левой затылочной доле очагов фиксации РФП нет. Латеральный шейный лимфатический узел справа не определяется, а надключичный – 6 мм с фоновой фиксацией (SUVmax=2,35, ранее – 6,070). Субплеврально в S6 правого легкого – образование размером до 11×13 мм с метаболической активностью ФДГ (SUVmax=2,09). В средостении ретротрахеально справа сохраняется инфильтрат, сливающийся с правой стенкой пищевода, размером до 14×23×27 мм, ранее – 19×41×58 мм, с фоновой метаболической активностью ФДГ (SUVmax=3,12, ранее – 14,30). Лимфатические узлы: преваскулярные – размером до 5 мм, ранее – 9 мм без метаболической активности ФДГ; паратрахеальные верхней группы не дифференцируются. Регресс опухоли в правом надпочечнике.
Fig. 3. A 64-year-old patient N. The condition of the patient after 3 cycles of treatment. MIP, axial and coronal CT and PET/CT images show the left occipital lobe without increased uptake of radiopharmaceutical. The right lateral cervical lymph node is not detected, but there is a supraclavicular lymph node measuring 6 mm with background FDG uptake (SUVmax=2.35, previously – 6.070). In the subpleural section of the right lung S6 segment there is a lesion measuring 11×13 mm with FDG uptake (SUVmax=2.09). The infiltrate, merging with the right esophageal wall, measuring 14×23×27 mm, previously – 19×41×58 mm, with background FDG uptake (SUVmax=3.12, previously – 14.30) is still detected in the mediastinum in the right retrotracheal space. The lymph nodes: the prevascular lymph nodes measuring 5 mm, previously – 9 mm without FDG uptake; the upper paratracheal lymph nodes group is not differentiated. The regression of the tumor on the right adrenal gland.
Состояние головного мозга оценивали с помощью МРТ через 3 и 6 мес – без отрицательной динамики, очаговой патологии не выявлено. Пациент регулярно получал атезоли- зумаб в дозе 1200 мг через 21 день. После 6 и 7-го циклов зафиксирована нейтропения 2-й степени.
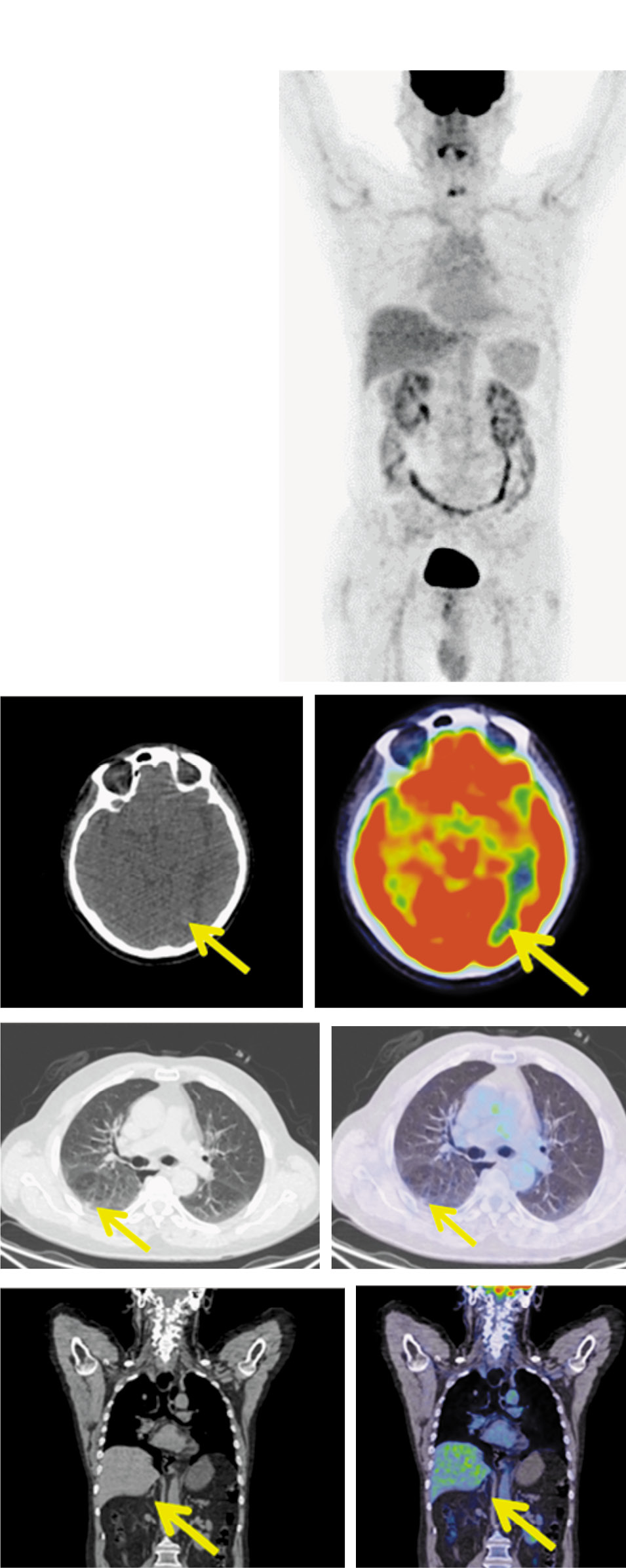
Для оценки эффекта проводимой терапии 26.02.2020, после 14 циклов, выполнена ПЭТ/КТ с 18-ФДГ. В левой затылочной доле очагов фиксации РФП нет. Лимфатические узлы шеи не увеличены, метаболически не активны.
В субплевральном отделе S6 правого легкого сохраняется образование размером до 9 мм без метаболической активности ФДГ.
В задневерхнем средостении паратрахеально справа имеется уплотнение клетчатки без четких контуров, сливающееся с правой стенкой пищевода, размером до 16×13×10 мм без метаболической активности ФДГ, медиастинальные лимфатические узлы не увеличены.
Образование в правом надпочечнике не определяется (рис. 4). По критериям RECIST (Response Evaluation Criteria in Solid Tumors ) v.1.1 получена полная метаболическая регрессия.
Рис. 4. Пациент Н.,64 года. После 14 циклов терапии. На MIP, аксиальной и корональной КТ и ПЭТ/КТ-проекциях в левой затылочной доле очагов фиксации РФП нет. Лимфатические узлы шеи не увеличены, метаболически не активны. В субплевральном отделе S6 правого легкого сохраняется образование размером до 9 мм, без метаболической активности ФДГ. В задневерхнем средостении паратрахеально справа уплотнение клетчатки без четких контуров, размером 16×13×10 мм без метаболической активности. ФДГ, медиастинальные лимфоузлы не увеличены. Образование в правом надпочечнике регрессировало.
Fig. 4. A 64-year-old patient N. The condition of the patient after 12 cycles of therapy. MIP, axial and coronal CT and PET/CT images show the left occipital lobe without increased uptake of radiopharmaceutical. Cervical lymph nodes are not enlarged and without metabolic activity. The lesion measuring 9 mm, without increased RFP uptake is still detected in the subpleural section of the right lung S6 segment. In the posterosuperior mediastinum in the right paratracheal space a fiber compaction with poorly defined boundaries, measuring 16×13×10 mm without RFP uptake is detected, the mediastinal lymph nodes are not enlarged. The lesion on the right adrenal gland has regressed.
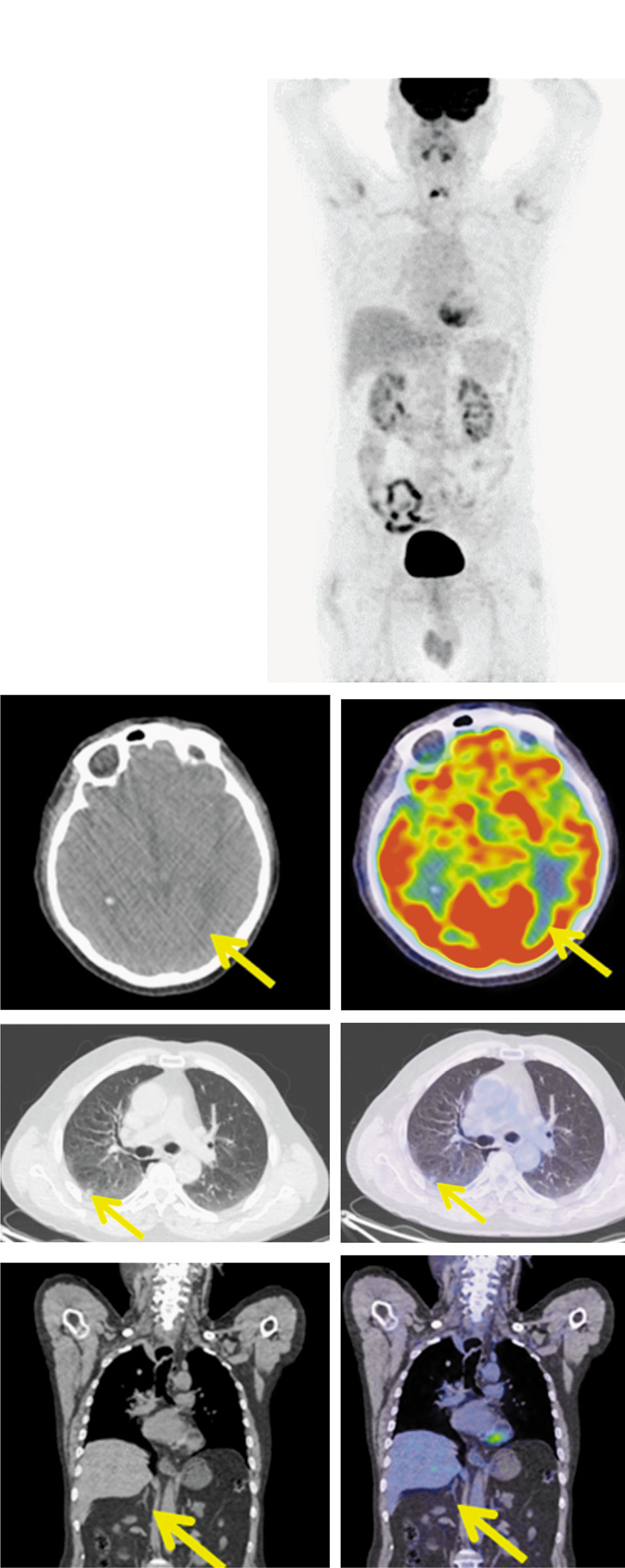
Больному регулярно, без нарушения интервального режима, проводилось лечение атезолизумабом в дозе 1200 мг. Нежелательных явлений не отмечалось. Следующая оценка эффекта терапии выполнена 07.08.2020, по окончании 22-го цикла, при помощи ПЭТ/КТ с 18-ФДГ. В левой затылочной доле очагов фиксации РФП не обнаружено. Лимфатические узлы шеи не увеличены, метаболически не активны. В субплевральном отделе S6 правого легкого сохраняется образование размером до 9 мм без метаболической активности ФДГ. В задневерхнем средостении паратрахеально справа – уплотнение клетчатки без четких контуров, размером 16×13×10 мм, без метаболической активности ФДГ. Медиастинальные лимфатические узлы не увеличены.
Опухоль в правом надпочечнике не определяется (рис. 5). По критериям RECIST v. 1.1 полная метаболическая регрессия сохраняется.
Рис. 5. Пациент Н.,64 года. После 22 циклов терапии. На MIP, аксиальных и корональных КТ и ПЭТ/КТ проекциях в левой затылочной доле очагов фиксации РФП нет. Лимфатические узлы шеи не увеличены, метаболически не активны. В субплевральном отделе S6 правого легкого сохраняется образование размером до 9 мм без метаболической активности ФДГ. В задневерхнем средостении паратрахеально справа – уплотнение клетчатки без четких контуров, размером до 16×13×10 мм, без метаболической активности ФДГ. Медиастинальные лимфатические узлы не увеличены. Регресс опухоли в правом надпочечнике.
Fig. 5. A 64-year-old patient N. The condition of the patient after 22 cycles of therapy. MIP, axial and coronal images show the left occipital lobe without increased uptake of radiopharmaceutical. Cervical lymph nodes are not enlarged and without metabolic activity. The lesion measuring 9 mm without increased RFP uptake is still detected in the subpleural section of the right lung S6 segment. In the posterosuperior mediastinum in the right paratracheal space a fiber compaction with poorly defined boundaries, measuring 16×13×10 mm in size, without RFP uptake is detected. The mediastinal lymph nodes are not enlarged. The regression of the tumor on the right adrenal gland.
Лечение продолжено в аналогичной дозе и режиме. После 30-го цикла был эпизод нейтропении 2-й степени. Каких- либо иммуноопосредованных нежелательных явлений не отмечалось. Очередная оценка эффекта лечения проведена 18.02.2021 после 31-го цикла с помощью ПЭТ/КТ с 18-ФДГ. В левой затылочной доле очагов фиксации РФП нет. Лимфатические узлы шеи не увеличены, метаболически не активны. В субплевральном отделе S6 правого легкого – образование прежнего размера, до 9×6 мм, без метаболической активности ФДГ. В задневерхнем средостении паратрахеально справа – неширокое уплотнение клетчатки, без метаболической активности ФДГ. Образования в правом надпочечнике нет (рис. 6). По критериям RECIST v.1.1 полная метаболическая регрессия сохраняется.
Рис. 6. Пациент Н.,64 года. После 31 цикла лечения. На MIP, аксиальных и корональных КТ и ПЭТ/КТ-проекциях в левой затылочной доле очагов фиксации РФП нет. Лимфатические узлы шеи не увеличены и метаболически не активны. В субплевральном отделе S6 правого легкого – образование прежнего размера, до 9×6 мм, без метаболической активности ФДГ. В задневерхнем средостении паратрахеально справа – неширокое уплотнение клетчатки, сливающееся с правой стенкой пищевода, без метаболической активности ФДГ. Образования в правом надпочечнике нет.
Fig. 6. A 64-year-old patient N. The condition of the patient after 31 cycles of therapy. MIP, axial and coronal CT and PET/CT images show the left occipital lobe without increased uptake of radiopharmaceutical. Cervical lymph nodes are not enlarged and without metabolic activity. The lesion has the same size, measuring 9×6 mm and without increased RFP uptake is still in the subpleural section of the right lung S6 segment. In the posterosuperior mediastinum in the right paratracheal space a narrow fiber compaction, merging with the right esophageal wall, without increased RFP uptake is detected. There is no evidence of mass in the right adrenal gland.
По данным МРТ головного мозга через 26 мес – без отрицательной динамики, очаговой патологии не выявлено. Лечение атезолизумабом в дозе 1200 мг продолжено. Нежелательных явлений не отмечалось. После 40-го цикла осуществлена оценка эффективности лечения. По данным ПЭТ/КТ от 02.09.2021 с 18-ФДГ в левой затылочной доле – без фиксации РФП. Лимфатические узлы шеи не увеличены и метаболически не активны. В субплевральном отделе S6 правого легкого – образование без динамики, до 9×6 мм, контактирующее с костальной плеврой, без метаболической активности ФДГ. В задневерхнем средостении паратрахеально справа сохраняется уплотнение клетчатки без четких контуров, сливающееся с правой стенкой пищевода без очаговой фиксации РФП. Медиастинальные лимфатические узлы не увеличены. Образование в правом надпочечнике регрессировало (рис. 7). По критериям RECIST v.1.1 полученная ранее полная метаболическая регрессия сохраняется.
Рис. 7. Пациент Н.,64 года, после 40-го цикла терапии. На MIP, аксиальной и корональной КТ и ПЭТ/КТ проекциях в левой затылочной доле – без фиксации РФП. Лимфатические узлы шеи не увеличены и метаболически не активны. В субплевральном отделе S6 правого легкого – образование без динамики до 9×6 мм, без метаболической активности ФДГ. В задневерхнем средостении паратрахеально справа сохраняется уплотнение клетчатки без четких контуров и очаговой фиксации РФП. Медиастинальные лимфатические узлы не увеличены. Опухоли в правом надпочечнике нет.
Fig. 7. A 64-year-old patient N. The condition of the patient after 40 cycles of therapy. MIP, axial and coronal images show the left occipital lobe without increased uptake of radiopharmaceutical. Cervical lymph nodes are not enlarged and without metabolic activity. In the subpleural section of the right lung S6 segment the lesion is the same, measuring 9×6 mm, without increased RFP uptake. In the posterosuperior mediastinum in the right paratracheal space, fiber compaction with poorly defined boundaries is still detected and without focal increased radiopharmaceutical uptake. Mediastinal lymph nodes are not enlarged. There is no tumor in the right adrenal gland.
Лечение продолжено. Пациенту вводили атезолизумаб в дозе 1200 мг внутривенно каждые 3 нед. Продолжительность терапии атезолизумабом составила 36 мес. Проводимая терапия привела к полной клинической и метаболической регрессии проявлений злокачественной опухоли. Переносимость препарата удовлетворительная. Из нежелательных явлений следует отметить нейтропению 2-й степени. Иммуно- опосредованных нежелательных явлений не зафиксировано. Качество жизни сохранено.
Обсуждение
Понимание молекулярных механизмов злокачественной трансформации при НМРЛ привело к разработке агентов, нацеленных на определенные сигнальные пути. Это послужило основой современной парадигмы лечения – разработке персонализированной генотип-направленной терапии распространенного НМРЛ [2].
С целью определения эффективности атезолизумаба против лиганда запрограммированной смерти PD-L1 по сравнению с химиотерапией с включением платины в 1-й линии метастатического НМРЛ с экспрессией PD-L1 было проведено открытое рандомизированное исследование III фазы IMpower110 [8]. В исследование были включены 572 пациента с метастатическим неплоскоклеточным или плоскоклеточным НМРЛ, ранее не получавшие химиотерапию, без сенсибилизирующих мутаций EGFR и ALK, в возрасте 30–81 год (медиана 64 года). Уровень лиганда запрограммированной смерти PD-L1 оценивали на опухолевых клетках или иммунных клетках, инфильтрирующих опухоль, по результатам иммуногистохимического анализа VENTANA SP142. Среди пациентов с опухолями дикого типа в отношении мутаций EGFR и ALK транслокаций 38,6% в группе атезолизумаба и 35,4% в группе химиотерапии имели высокую экспрессию лиганда PD-L1 (50% на опухолевых клетках или 10% на инфильтрирующих опухоль иммунных клетках). В исследуемой популяции выделяли подгруппу с высокой экспрессией PD-L1, затем – подгруппу с высокой или промежуточной экспрессией PD-L1 – 5% на опухолевых или иммунных клетках, инфильтрирующих опухоль, а затем – подгруппу с любой экспрессией PD-L1 – 1% аналогичного характера. Плоскоклеточный рак диагностирован у 30,7% пациентов, а неплоскоклеточный – в 69,3% случаев.
В период с июля 2015 по февраль 2018 г. пациенты были рандомизированы в 144 центрах 19 стран, при этом 285 больным назначили атезолизумаб, а 287 – химиотерапию. Больных случайным образом распределяли в соотношении 1:1 для получения атезолизумаба в дозе 1200 мг внутривенно или химиотерапии по поводу неплоскоклеточного НМРЛ (получали либо цисплатин 75 мг/м², либо карбоплатин 6AUC в комбинации с пеметрекседом – 500 мг/м² внутривенно). Пациенты с плоско- клеточным НМРЛ получали цисплатин в дозе 75 мг/м² + гемцитабин 1250 мг/м² или карбоплатин 5AUC + гемцитабин 1000 мг/м². Продолжать прием атезолизумаба после прогрессирования заболевания разрешалось пациентам, у которых сохранялась клиническая польза. Первичной конечной точкой в отобранной PD-L1-популяции была общая выживаемость. Вторичные конечные точки включали выживаемость без прогрессирования (ВБП) по оценке исследователя, частоту объективного ответа и длительность ответа. Исследовательские конечные точки включали общую и ВБП, оцененную исследователем. Анализ проведен на дату отсечки 10.09.2018.
Таблица 1. Общая выживаемость пациентов в зависимости от экспрессии PD-L1 [8] Table 1. Overall survival of patients according to PD-L1 expression [8] | |||||
Уровень PD-L1 | Рандомизация | 6 мес выживания, % | 12 мес выживания, % | Медиана, мес | Отношение рисков для смерти |
Высокий | Атезолизумаб | 76,3 | 64,9 | 20,2 | 0,59 |
Химиотерапия | 70,1 | 50,6 | 13,1 | ||
Высокий или промежуточный | Атезолизумаб | 79,3 | 60,7 | 18,2 | 0,72 |
Химиотерапия | 76,1 | 56,0 | 14,9 | ||
Любой | Атезолизумаб | 76,2 | 57,6 | 17,5 | 0,83 |
Химиотерапия | 75,7 | 54,3 | 14,1 | ||
Согласно полученным данным среди пациентов с опухолями дикого типа, имеющих высокую экспрессию PD-L1, медиана общей выживаемости составила на 7,1 мес больше в группе атезолизумаба, чем у пациентов, получающих химиотерапию: 20,2 мес vs 13,1 мес. Отношение рисков (ОР) для смерти 0,59 (95% доверительный интервал – ДИ 0,40–0,080; р≤0,01). На основании этих результатов атезолизумаб был одобрен в США в качестве препарата 1-й линии для лечения НМРЛ без мутаций EGFR и ALK-транслокаций с высокой экспрессией PD-L1.
Подтверждено снижение риска смерти на 31% по сравнению с химиотерапией. Общая выживаемость в рандомизированных группах, в зависимости от уровня экспрессии PD-L1, представлена в табл. 1. Медиана общей выживаемости значимо больше в группе получающих атезолизумаб при высоком уровне PD-L1. В других случаях выявлена тенденция к увеличению медианы. Интересно отметить, что 6-месячная продолжительность жизни больных практически одинакова при всех уровнях экспрессии лиганда PD-L1 и составляет 76,2–79,3%. Аналогичная ситуация прослеживается и на уровне годичной выживаемости.
При этом анализе улучшение общей выживаемости не было статистически значимым в группах пациентов с высокой или промежуточной экспрессией PD-L1. ВБП составила 8,1 мес в группе атезолизумаба и 5 мес в группе химиотерапии. ОР прогрессирования или смерти составило 0,63 (95% ДИ 0,45–0,88). ВБП у больных дикого типа, которые имели высокую или промежуточную экспрессию PD-L1, была равна 7,2 мес в группе атезолизумаба и 5,5 мес у больных, получающих химиотерапию. ОР для прогрессирования или смерти составило 0,67 (95% ДИ 0,52–0,88).
Объективный ответ, подтвержденный исследователем у пациентов дикого типа с высоким уровнем экспрессии PD-L1, составил 38,3% в группе атезолизумаба и 28,6% в группе химиотерапии. При этом длительность ответа продолжалась у 68,3% больных, получающих атезолизумаб, и в 35,7% случаев в группе химиотерапии. В то же время среди пациентов с опухолями дикого типа в отношении мутаций EGFR или ALK-транслокаций с высокой или промежуточной экспрессией PD-L1 частота подтвержденных ответов составила 30,7% в группе атезолизумаба и 32,1% у лиц, получавших химиотерапию. Длительность ответов продолжалась в 70,6% случаев у пациентов, лечившихся атезолизумабом, и 34,6% случаев в группе химиотерапии. Аналогичные данные получены у лиц с опухолями EGFR и ALK дикого типа с какой-либо экспрессией. Процент подтвержденных ответов составил 29,2 в группе атезолизумаба и 31,8 – у пациентов в группе химиотерапии, а длительность ответов оказалась равна 70,4 и 33% в группе атезолизумаба и полихимиотерапии соответственно.
Уровень экспрессии лиганда запрограммированной смерти PD-L1 определяли иммуногистохимически с применением различных моноклональных антител, в частности SP142,22C3 BEP-DT и SP263 BEP-DT. Среди больных с высокой экспрессией PD-L1, оцененной с помощью теста SP142, медиана общей выживаемости составила 20,2 мес у пациентов, получающих атезолизумаб, и 13,1 мес – в группе химиотерапии. Риск наступления смерти составил 0,59 (95% ДИ 0,40–0,89). У больных с применением антител 22С3 медиана продолжительности жизни была равна 20,2 мес при применении атезолизумаба и 11 мес – в группе химиотерапии (ОР 0,60; 95% ДИ 0,42–0,86), а у пациентов с анализом с SP263 BEP-DT медиана общей выживаемости при применении атезолизумаба составила 19,5 и 16,1 мес – у лиц после химиотерапии.
Полученные промежуточные данные свидетельствуют о том, что атезолизумаб увеличивает общую продолжительность жизни у пациентов с высокой экспрессией PD-L1 вне зависимости от вида антител, применяемых для тестирования.
Нежелательные явления были зарегистрированы у 90,2% пациентов, получавших атезолизумаб, и у 94,7% больных на химиотерапии. Нежелательные явления 3 или 4-й степени наблюдали у 30,1% пациентов в группе атезолизумаба и у 52,2% больных в группе химиотерапии. Иммуноопосредованные нежелательные явления развились у 40,2% пациентов в группе атезолизумаба и в 16,7% случаях при применении химиотерапии, из них 3 или 4-я степень констатированы у 6,6 и 1,5% больных соответственно.
Авторы считают, что монотерапия атезолизумабом сопровождается более длительной общей выживаемостью по сравнению с комбинированной химиотерапией на основе платины [8].
Y. Wang и соавт. в 2019 г. опубликовали результаты систематического обзора и метаанализ 125 клинических исследований с участием 20 128 пациентов по частоте нежелательных явлений, связанных с лечением ингибиторами контрольных точек иммунного ответа PD-1 и PD-L Это самый крупный и наиболее полный метаанализ нежелательных явлений, обусловленных применением ингибиторов контрольных точек иммунного ответа. Поиск проводился по базе данных PubMed, Web of Science, Embase и Scopus с 1 октября 2017 г. по 15 декабря 2018 г. При этом общая час- тота нежелательных явлений всех степеней составила 66%, среди них нежелательные явления 3-й степени и выше наблюдались в 14% случаев. Средняя частота нежелательных явлений развилась в зависимости от препарата. Общая средняя частота нежелательных явлений всех степеней составила 1,66%, а средняя частота нежелательных явлений 3-й степени и выше – 0,11%. Метаанализ показал, что такая частота нежелательных явлений связана с иммунной системой. Ниволумаб имеет более высокую среднюю частоту развития нежелательных явлений по сравнению с пемброли- зумабом. Риск возникновения нежелательных явлений 3-й и выше степени при лечении ингибиторами PD-1 на 58% выше, чем при использовании PD-L1 ингибиторов. Ингибиторы PD-L1 связаны с более низкой средней частотой нежелательных явлений 3-й степени или выше по сравнению с ниволумабом и пембролизумабом [9]. Полученные результаты свидетельствуют о лучшей переносимости ингибиторов PD-L1.
В ряде исследований (KEYNOTE-024, KEYNOTE-042) при применении пембролизумаба при уровнях экспрессии PD-L1≥1 и ≥50% при лечении местно-распространенного и метастатического плоскоклеточного или неплоскоклеточного НМРЛ частота нежелательных явлений 3–5-й степени составила 31,2 и 18% соответственно по сравнению с 14,3% в группе атезолизумаба [4, 10].
В 2021 г. J. Jassem и соавт. опубликовали результаты по анализу общей выживаемости в группах дикого типа с высоким или промежуточным уровнем экспрессии и любой экспрессии PD-L1. Кроме того, они представили обновленный исследовательский анализ общей выживаемости для группы с высокой экспрессией PD-L1, а также обновленные данные по другим конечным точкам и безопасности. Согласно результатам анализа на дату отсечки 4 февраля 2020 г. медиана продолжительности выживаемости составила 31,3,31,0 и 30 мес при высоком, высоком или промежуточном уровне экспрессии и любой экспрессии PD-L1.
В обновленном анализе общей выживаемости в группе с высокой экспрессией PD-L1 после 17 мес дополнительного наблюдения и после промежуточного анализа было установлено длящееся ее улучшение в группе с атезолизумабом по сравнению с химиотерапией. Медиана общей выживаемости при этом составила 20,2 и 14,7 мес соответственно (ОР 0,76; 95% ДИ 0,54–1,09). Общая продолжительность жизни в группе атезолизумаба по сравнению с химиотерапией с высокой или промежуточной экспрессией PD-L1 также статистически не значима (ОР 0,87; 95% ДИ 0,66–1,14). Медиана ее была равна 19,9 и 16,1 мес соответственно. Медиана общей выживаемости у лиц с любой экспрессией PD-L1 была равна 18,9 мес для атезолизумаба и 14,7 мес для химиотерапии (ОР 0,85; 95% ДИ 0,69–1,04).
При обновленном анализе вторичных конечных точек установлено, что ВБП пациентов популяции дикого типа при всех уровнях экспрессии PD-L1 больше при использовании атезолизумаба, чем при химиотерапии. Причем это преимущество атезолизумаба было наибольшим при высоком уровне экспрессии PD-L1, медиана ВБП составила 8,2 мес по сравнению с 5 мес при химиотерапии (ОР 0,59; 95 % ДИ 0,43–0,81). Однолетняя ВБП была равна 39,2 и 19,2% в группе атезолизумаба и химиотерапии соответственно. Аналогичные результаты получены при других уровнях экспрессии PD-L1 (табл. 2).
Таблица 2. Обновленные вторичные контрольные точки IMpower 110 [11] Table 2. Updated secondary checkpoints – IMpower 110 (J. Jassem et al.,2021) [11] | ||||||
Уровень PD-L1 | Рандомизация | Медиана ВБП, мес | Частота объективного ответа, % | Медиана длительности ответа, мес | Одногодичная ВБП, мес | Двухгодичная ВБП, мес |
Высокий | Атезолизумаб | 8,2 | 40,2 | 38,9 | 39,2 | 25,7 |
Химиотерапия | 5,0 | 28,6 | 8,3 | 19,2 | 7,9 | |
Высокий или промежуточный | Атезолизумаб | 7,3 | 33,7 | 38,9 | 37,0 | 22,0 |
Химиотерапия | 5,5 | 32,1 | 5,8 | 17,7 | 6,3 | |
Любой | Атезолизумаб | 5,8 | 31,4 | 26,3 | 32,8 | 18,6 |
Химиотерапия | 5,6 | 32,1 | 5,7 | 17,5 | 5,2 | |
Частота объективного ответа была выше при применении атезолизумаба по сравнению с химиотерапией в группе с высокой экспрессией PD-L1, составляя 40,2 и 28,6% при применении атезолизумаба и полихимиотерапии соответственно. Схожие результаты получены и при других уровнях экспрессии PD-L1 (см. табл. 2).
Медиана длительности ответа также была больше при применении атезолизумаба, чем химиотерапии, во всех группах, составляя по 38,9 и 26,3 мес соответственно у пациентов с высоким, высоким/промежуточным и любым уровнем PD-L1 (см. табл. 2).
При изучении безопасности установлено, что нежелательные явления были зарегистрированы у 92 и 95,1% пациентов, получающих атезолизумаб в моно- и химиотерапии соответственно. Причем нежелательные явления 3–4-й степени возникли у 33,9 и 53,2% больных, получающих атезолизумаб и химиотерапию. Частота иммуноопосредованных нежелательных явлений составила 46,2% при применении атезолизумаба и 18,3% в группе химиотерапии, а 3–4-я степень их выявлена в 8,7 и 1,5% случаях соответственно [11].
Таким образом, в этом исследовании авторы представили результаты обновленного исследовательского анализа через 17 мес дополнительного наблюдения после промежуточного анализа. Они подтвердили преимущество атезолизумаба в отношении общей выживаемости у пациентов с нелеченым без мутации EGFR или ALK-транслокаций при метастатичес- ком НМРЛ с высокой экспрессией лиганда запрограммированной смерти PD-L1 (50% на опухолевых клетках или 10% на инфильтрирующих опухоль иммунных клетках). В то же время в данном анализе статистическое исследование общей выживаемости в этой популяции по формальному признаку не проводилось, поскольку первичный анализ ее был выполнен ранее, при промежуточном анализе III фазы исследования IMpower110. В нем было установлено, что атезолизумаб обеспечивает статистически и клинически значимые улучшения общей выживаемости по сравнению с химиотерапией для подгруппы с высокой экспрессией PD-L1. Однако в обновленном анализе медиана общей выживаемости в группе химиотерапии также увеличилась, составляя 14,7 мес. Можно предположить, что снижение пользы от общей выживаемости произошло за счет применения иммунотерапии после прогрессирования, что и способствовало улучшению выживаемости.
Вторичные конечные точки в подгруппе пациентов с высоким уровнем PD-L1 при применении атезолизумаба превосходили таковые у лиц, получающих химиотерапию. Безопасность в этом обновленном анализе соответствовала промежуточному результату. Атезолизумаб демонстрирует более благоприятный профиль безопасности по сравнению с химиотерапией, в том числе по более низкой частоте встречаемости нежелательных явлений 3–4-й степени и нежелательных явлений, приводящих к отмене лечения.
Обновленный анализ общей выживаемости подтвердил преимущества монотерапии атезолизумабом в 1-й линии при НМРЛ [11].
В настоящее время определение молекулярно-генетичес- кого портрета при НМРЛ на догоспитальном этапе является неотъемлемой диагностической опцией. Именно такое решение обеспечивает персонализированный подход к выбору как адъювантного лечения, так и терапии при прогрессировании опухолевого процесса. С целью подбора персонализированной терапии нами проведены молекулярно-генетические исследования у 128 больных с НМРЛ I–IV стадии, получивших комплексное лечение в Тамбовском областном онкологическом клиническом диспансере. Возраст больных находился в пределах от 37 до 80 лет (медиана 62,2 года). Аденокарцинома была диагностирована у большинства пациентов – 103/80,5%, а плоскоклеточный рак – в 25/19,5% наблюдений. Определение мутаций проводилось в опухолевой ткани, полученной при биопсии или интраоперационно. Проведенный анализ позволил выявить мутации у 49 пациентов, что составило 38,3%. Это несколько превышает данный показатель относительно общепризнанного у больных НМРЛ европеоидной расы (табл. 3).
Таблица 3. Генотипы НМРЛ на примере Тамбовской обл. (собственные данные, n=128) Table 3. Non-small cell lung cancer genotypes on the example of the Tambov region (own data, n=128) | ||
Генотипы | Абс. | % |
Мутация в гене KRAS | 21 | 16,4 |
Мутация в гене EGFR | 18 | 14,1 |
Транслокация в гене ALK | 5 | 3,9 |
Амплификация гена HER2 | 2 | 1,6 |
Транслокация в гене ROS I | 1 | 0,8 |
Транслокация в гене RET | 1 | 0,8 |
Делеция в экзоне 14 MET | 1 | 0,8 |
Согласно полученным данным в Тамбовской обл. при НМРЛ чаще всего наблюдались мутации в генах KRAS и EGFR, составляя соответственно 21/16,4 и 18/14,1%. Мутации в гене KRAS были выявлены у 21 пациента с аденокарциномой. Возраст больных колебался от 40 до 79 лет (медиана 63,4 года). Из них на долю мужчин приходилось подавляющее большинство – 14/66,7%, тогда как женщин было меньше в 2 раза – 7/33 (3%). В подавляющем большинстве случаев онкогенные мутации KRAS выявлены в кодоне 12, составляя 95,2%. При этом они отсутствовали в кодоне 13, а в кодоне 3 экзоне 61 мутация была обнаружена однократно, составляя 4,8%.
Ниже представлены результаты секвенирования мутаций гена KRAS (табл. 4).
Анализ секвенирования гена KRAS в нашем исследовании показал, что большинство мутаций (42,9%) представляли собой аминокислотную замену в кодоне 12 с глицина на валин (G12V), а мутации, связанные с заменой глицина на аспарагиновую кислоту (G12D), наблюдались в 28,5% случаев. Мутации в кодоне 12 с заменой глицина на цистеин (G12C) были идентифицированы у 23,8% пациентов (табл. 4).
Таблица 4. Результаты секвенирования мутаций гена KRAS (n=21), % Table 4. The results of the sequencing for KRAS mutations (n=21), % | ||
Кодоны | Абс. | % |
G12V | 9 | 42,9 |
G12D | 6 | 28,5 |
G12C | 5 | 23,8 |
Q61H | 1 | 4,8 |
В литературе отмечены этнические различия в частоте мутаций генов при НМРЛ.
Мутация в гене KRAS при НМРЛ является наиболее распространенной, составляя 30% в западных странах и около 10% в азиатском регионе. Так, S. Bhaumik и соавт. (2016 г.) определяли частоту и характер распределения мутаций генов в популяции 204 индийских пациентов с НМРЛ. Это крупное исследование по оценке мутационного статуса генов KRAS, BRAF, HER2 и PTEN. Мутации определяли на фиксированных и парафинированных образцах опухоли. Среди них преобладала аденокарцинома, составляя 88,7% случаев, а плоскоклеточный рак наблюдался у 6,8% больных. Мужчин было 63,7%, женщин – 36,3% (медиана возраста 60 лет). Мутации в гене KRAS были обнаружены в 6,4% случаев, встречаясь чаще у мужчин. Среди различных типов мутаций преобладала мутация G12C. Частота мутаций BRAF и HЕR2 составила 1,5 и 1,5% соответственно [12]. Авторы предполагают, что мутации гена KRAS встречаются значительно чаще, чем генов BRAF, HER2 и PTEN. Они значительно варьируют в различных частях земного шара. Так, в США эти мутации встречаются в 15,4–25% случаев [13, 14]. В Греции мутации в гене KRAS обнаружены в 26,5% случаев [15]. Минимальная частота мутаций выявлена в Китае, составляя 3,6–5,9% [16, 17]. Аналогичные данные приводят и другие авторы [18, 19]. Мутации этого гена чаще встречаются у женщин и пациентов молодого возраста [20, 21]. Онкогенные мутации гена KRAS чаще всего наблюдают в экзоне 2 кодона 12, реже – в кодоне 13 (3–5%) и еще реже – в кодоне 3 экзона 61, составляя менее 1% [22]. Чаще всего у больных с аденокарциномой наблюдается мутационный подтип KRAS G12С, затем G12V, G12D и G12A [23].
Начиная с 2004 г. впервые были выявлены активирующие мутации в гене EGFR, в основном при аденокарциноме. Они представлены делецией в экзоне 19 и однонуклеотидной заменой в экзоне 21. Кроме того, при аденокарциноме в гене EGFR, а также в других генах, включая ALK, ROS1, RET, HER2, BRAF, обнаруживаются редкие мутации. На долю редких мутаций в гене EGFR приходится 10%. Мутации EGFR и KRAS при НМРЛ встречаются наиболее часто [24].
Мутации рецептора тирозинкиназы эпидермального фактора роста в США встречаются примерно в 15% случаев аденокарциномы НМРЛ [25]. В азиатских популяциях частота их значительно выше – до 62% [26]. При распространенном опухолевом процессе наличие мутаций обеспечит более благоприятный прогноз.
Мутации гена EGFR нами были выявлены у 18/14,1% пациентов с аденокарциномой, из них было 17 женщин и только лишь 1 мужчина. Возраст больных колебался от 55 до 68 лет (медиана 67,5 года). Спектр драйверных мутаций представлен делецией в экзоне 19 и однонуклеотидной заменой в экзоне 21 (L858R). При этом данные мутации наблюдались с одинаковой частотой: по 9/50% случаев в указанных экзонах.
Транслокация с участием киназы анапластической лимфомы (ALK) встречается примерно в 4% случаев при аденокарциномах у молодых и некурящих больных. Согласно полученным данным ALK-транслокация обнаружена нами у 5/3,9% пациентов с аденокарциномой в возрасте от 57 до 79 лет (медиана 64,8 года). Из них мужчин было 3 и 2 женщины.
Амплификация гена HER2 при НМРЛ была выявлена у 2 больных с аденокарциномой в возрасте 83 и 75 лет. По данным литературы она встречается в 1–3% случаев при НМРЛ [12, 27], составляя 0,67% в Польше [28] и до 4% в Великобритании [29].
МЕТ представляет собой тирозинкиназный рецептор фактора роста гепатоцитов с делецией в экзоне 14. Делеция в экзоне 14 гена МЕТ обнаружена нами только в 1 случае у мужчины 75 лет.
Транслокации в гене RET были идентифицированы в 1–2% наблюдений при аденокарциноме, чаще у молодых и некурящих пациентов. По нашим данным, она была выявлена в 1/0,8% случае у мужчины 51 года.
Транслокации в гене ROS1 встречаются при аденокарциноме в 1–2% случаев при НМРЛ у молодых некурящих пациентов. Транслокацию в гене ROS1 мы наблюдали у мужчины 48 лет.
Частота BRAF-мутаций варьирует по всему миру от 0,3 до 4,9% [16, 30]. Данную мутацию мы не наблюдали.
Полученные нами результаты по изучению молекулярно- генетических особенностей при НМРЛ в целом сопоставимы с данными литературы. Тем не менее установлены некоторые биологические особенности, которые и составляют основу персонализированного подхода к лечению НМРЛ.
Заключение
Применение атезолизумаба у больных с метастатическим нелеченым EGFR- и ALK-отрицательным НМРЛ с высокой экспрессией лиганда запрограмированной смерти PD-L1 позволяет значительно улучшить общую выживаемость. В приведенном случае у пациента получена полная клинико- метаболическая регрессия опухоли. Общая выживаемость и выживаемость без прогрессирования при этом составила 36 мес.
Среди методов медицинской визуализации ПЭТ/КТ с 18-ФДГ является способом выбора для оценки эффективности проводимой терапии. Атезолизумаб обеспечивает благоприятный профиль безопасности.
С целью выбора рациональной персонализированной терапии при НМРЛ необходимо выделять биомаркеры молекулярных путей, обеспечивающие злокачественную трансформацию.
В Тамбовской обл. у больных НМРЛ чаще наблюдают мутации в гене KRAS (16,4%) и в гене EGFR (14,1%).
Раскрытие интересов. Авторы декларируют отсутствие явных и потенциальных конфликтов интересов, связанных с публикацией настоящей статьи.
Disclosure of interest. The authors declare that they have no competing interests.
Вклад авторов. Авторы декларируют соответствие своего авторства международным критериям ICMJE. Все авторы в равной степени участвовали в подготовке публикации: разработка концепции статьи, получение и анализ фактических данных, написание и редактирование текста статьи, проверка и утверждение текста статьи.
Authors’ contribution. The authors declare the compliance of their authorship according to the international ICMJE criteria. All authors made a substantial contribution to the conception of the work, acquisition, analysis, interpretation of data for the work, drafting and revising the work, final approval of the version to be published and agree to be accountable for all aspects of the work.
Источник финансирования. Авторы декларируют отсутствие внешнего финансирования для проведения исследования и публикации статьи.
Funding source. The authors declare that there is no external funding for the exploration and analysis work.
Информированное согласие на публикацию. Пациент подписал форму добровольного информированного согласия на публикацию медицинской информации.
Consent for publication. Written consent was obtained from the patients for publication of relevant medical information and all of accompanying images within the manuscript.
About the authors
Nikolai A. Ognerubov
Derzhavin Tambov State University
Author for correspondence.
Email: ognerubov_n.a@mail.ru
ORCID iD: 0000-0003-4045-1247
D. Sci. (Med.), Prof., Cand. Sci. (Law), Derzhavin Tambov State University, Deputy Chief doctor, Tambov Regional Oncological Clinical Dispensary
Russian Federation, TambovTatiana S. Antipova
LLC "PET-Technology"
Email: antipovats@gmail.com
ORCID iD: 0000-0003-4165-8397
doctor, Nuclear Medicine Center
Russian Federation, TambovReferences
- Globocan cancer observatory,2020. Available at: https://gco.iarc.fr/. Accessed: 22.01.2022.
- Sequist LV, Neal JW, Lilenbaum RC, Vora SR. Personalized, genotype-directed therapy for advanced non-small cell lung cancer,2022. Available at: https://www.wolterskluwer.com/en/know/clinical-efficientness-terms. Accessed: 15.02.2022.
- Sezer A, Kilickap S, Gumus M, et al. Cemiplimab monotherapy for first-line treatment of advanced non-small-cell lung cancer with PD-L1 of at least 50%: a multicentre, open-label, global, phase 3, randomised, controlled trial. Lancet. 2021;397(10274):592-604. doi: 10.1016/S0140-6736(21)00228-2
- Mok TSK, Wu Y-L, Kudaba I, et al.; KEYNOTE-042 Investigators. Pembrolizumab versus chemotherapy for previously untreated, PD-L1-expressing, locally advanced or metastatic non-small-cell lung cancer (KEYNOTE-042): a randomised, open-label, controlled, phase 3 trial. Lancet. 2019;393:1819-30. doi: 10.1016/S0140-6736(18)32409-7
- West H, McCleod M, Hussein M, et al. Atezolizumab in combination with carboplatin plus nab-paclitaxel chemotherapy compared with chemotherapy alone as first-line treatment for metastatic non-squamous non-small-cell lung cancer (IMpower130): a multicentre, randomised, open-label, phase 3 trial. Lancet Oncol. 2019;20:924-37. doi: 10.1016/S1470-2045(19)30167-6
- Paz-Ares L, Ciuleanu TE, Cobo M, et al. First-line nivolumab plus ipilimumab combined with two cycles of chemotherapy in patients with non-small-cell lung cancer (CheckMate 9LA): an international, randomised, open-label, phase 3 trial. Lancet Oncol. 2021;22:198-211. doi: 10.1016/S1470-2045(20)30641-0
- Socinski MA, Jotte RM, Cappuzzo F, et al. Atezolizumab for first-line treatment of metastatic nonsquamous NSCLC. N Engl J Med. 2018;378:2288-301. doi: 10.1056/NEJMoa1716948
- Herbst RS, Giaccone G, de Marinis F, et al. Atezolizumab for First-Line Treatment of PD-L1-Selected Patients with NSCLC. N Engl J Med. 2020;383:1328-39. doi: 10.1056/NEJMoa1917346
- Wang Y, Zhou S, Yang F, et al. Wang Treatment-Related Adverse Events of PD-1 and PD-L1 Inhibitors in Clinical Trials A Systematic Review and Meta-analysis. JAMA Oncol. 2019;5(7):1008-19. doi: 10.1001/jamaoncol.2019.0393
- Brahmer JR, Rodriguez-Abreu D, Robinson AG, et al. LBA51 – KEYNOTE-024 5-year OS update: First-line (1L) pembrolizumab (pembro) vs platinum-based chemotherapy (chemo) in patients (pts) with metastatic NSCLC and PD-L1 tumour proportion score (TPS) ≥50%. Ann Oncol. 2020;31(Suppl. 4):S1142-215. doi: 10.1016/annonc/annonc325
- Jassem J, de Marinis F, Giaccone G, et al. Updated Overall Survival Analysis From IMpower110: Atezolizumab Versus Platinum-Based Chemotherapy in Treatment-Naive Programmed Death-Ligand 1-Selected NSCLC. J Thorac Oncol. 2021;16(11):1872-82. doi: 10.1016/j.jtho.2021.06.019
- Bhaumik S, Ahmad F, Das BR. Somatic mutation analysis of KRAS, BRAF, HER2 and PTEN in EGFR mutation-negative non-small cell lung carcinoma: determination of frequency, distribution pattern and identification of novel deletion in HER2 gene from Indian patients. Med Oncol. 2016;33(10):117. doi: 10.1007/s12032-016-0828-7
- Araujo LH, Lammers PE, Matthews-Smith V, et al. Somatic mutation spectrum of non-small-cell lung cancer in African Americans: a pooled analysis. J Thorac Oncol. 2015;10:1430-6. doi: 10.1097/JTO.0000000000000650
- Paik PK, Arcila ME, Fara M, et al. Clinical characteristics of patients with lung adenocarcinomas harboring BRAF mutations. J Clin Oncol. 2011;29:2046-51. doi: 10.1200/JCO.2010.33.1280
- Chatziandreou I, Tsioli P, Sakellariou S, et al. Comprehensive molecular analysis of NSCLC; Clinicopathological Associations. PLoS One. 2015;10:e0133859. doi: 10.1371/journal.pone.0133859
- Dong YU, Ren W, Qi J, et al. EGFR, ALK, RET, KRAS and BRAF alterations in never-smokers with non-small cell lung cancer. Oncol Lett. 2016;11:2371-8. doi: 10.3892/ol.2016.4235
- Chen LF, Chen XY, Yu XB. Correlation of clinicopathologic features and driver gene mutation in non-small cell lung cancer. Zhonghua Bing Li Xue Za Zhi. 2016;45:221-5 (in Chinese). doi: 10.3760/cma.j.issn.0529-5807.2016.04.002
- Dearden S, Stevens J, Wu YL, Blowers D. Mutation incidence and coincidence in non small-cell lung cancer: meta-analyses by ethnicity and histology (mutMap). Ann Oncol. 2013;24(9):2371-6. doi: 10.1093/annonc/mdt205
- Yang H, Liang S-Q, Schmid RA, Peng R-W. New horizons in KRAS-mutant lung cancer: dawn after darkness. Front Oncol. 2019;9:953. doi: 10.3389/fonc.2019.00953
- Matikas A, Mistriotis D, Georgoulias V, Kotsakis A. Targeting KRAS mutated non-small cell lung cancer: a history of failures and a future of hope for a diverse entity. Crit Rev Oncol Hematol. 2017;110:1-12. doi: 10.1016/j.critrevonc.2016.12.005
- Shepherd FA, Domerg C, Hainaut P, et al. Pooled analysis of the prognostic and predictive effects of KRAS mutation status and KRAS mutation subtype in early-stage resected non-small-cell lung cancer in four trials of adjuvant chemotherapy. J Clin Oncol. 2013;31(17):2173-81. doi: 10.1200/jco.2012.48.1390
- Timar J. The clinical relevance of KRAS gene mutation in non-small-cell lung cancer. Curr Opin Oncol. 2014;26(2):138-44. doi: 10.1097/cco.0000000000000051
- Ghimessy A, Radeczky P, Laszlo V, et al. Current therapy of KRAS-mutant lung cancer. Cancer Metastasis Rev. 2020;39(4):1159-77. doi: 10.1007/s10555-020-09903-9
- D'Arcangelo M, D'Incecco A, Cappuzzo F. Rare mutations in non-small-cell lung cancer. Future Oncol. 2013;9(5):699-711. doi: 10.2217/fon.13.16
- Kawaguchi T, Koh Y, Ando M, et al. Prospective Analysis of Oncogenic Driver Mutations and Environmental Factors: Japan Molecular Epidemiology for Lung Cancer Study. J Clin Oncol. 2016;34:2247. doi: 10.1200/JCO.2015.64.2322
- Shi Y, Au JS, Thongprasert S, et al. A prospective, molecular epidemiology study of EGFR mutations in Asian patients with advanced non-small-cell lung cancer of adenocarcinoma histology (PIONEER). J Thorac Oncol. 2014;9:154. doi: 10.1097/JTO.0000000000000033
- Arcila ME, Chaft JE, Nafa K, et al. Prevalence, clinicopathologic associations, and molecular spectrum of ERBB2 (HER2) tyrosine kinase mutations in lung adenocarcinomas. Clin Cancer Res. 2012;18:4910. doi: 10.1158/1078-0432.CCR-12-0912
- Nicos M, Krawczyk P, Mlak R, et al. The presence of HER2 exon 20 insertion in patients with central nervous system metastases from non-small lung cancer – a potential application in classification for therapy. Pneumonol Alergol Pol. 2013;81:294-7.
- Stephens P, Hunter C, Bignell G, et al. Lung cancer: intragenic ERBB2 kinase mutations in tumours. Nature. 2004;431:525-6. doi: 10.1038/431525b
- Mazieres J, Peters S, Lepage B, et al. Lung cancer that harbors an HER2 mutation: epidemiologic characteristics and therapeutic perspectives. J Clin Oncol. 2013;31:1997-2003. doi: 10.1200/JCO.2012.45.6095
Supplementary files










