Osimertinib and routine practice: the experience of the drug application in different clinical situations in case of metastatic non-small cell lung cancer with an EGFR mutation. Case report
- Authors: Orlov S.V.1, Baldin P.L.2, Diuzeva N.V.3, Krechetova A.V.4, Mordovskiy A.A.5, Moskovchenko A.N.6, Musaeva N.E.4, Romanchuk O.V.7
-
Affiliations:
- Pavlov First Saint Petersburg State Medical University
- Republican Clinical Oncological Dispensary
- Kostroma Oncological Dispensary
- Kryzhanovsky Krasnoyarsk Regional Clinical Oncological Dispensary
- Surgut District Clinical Hospital
- Oncological Dispensary
- City Clinical Hospital №40
- Issue: Vol 24, No 1 (2022)
- Pages: 41-49
- Section: CLINICAL ONCOLOGY
- Submitted: 26.04.2022
- Accepted: 26.04.2022
- Published: 30.04.2022
- URL: https://modernonco.orscience.ru/1815-1434/article/view/106798
- DOI: https://doi.org/10.26442/18151434.2022.1.201491
- ID: 106798
Cite item
Full Text
Abstract
After the introduce of new treatment options is always important to see how the results of the registered studies will be putted into routine clinical practice. Clinical studies help to assess the efficacy and safety of therapy and to conduct the objective comparison of the current standard of treatment. However, it is impossible to take into account all the variety of situations that oncologists can face in their daily work. Nowadays, the use of targeted therapy in the presence of the specific genetic disorders, in particular, driver mutations in the epidermal growth factor receptor (EGFR) gene, is an integral part of the management of patients with advanced non-small cell lung cancer (NSCLC). The first EGFR tyrosine kinase inhibitors (TKIs) have significantly changed our possibility of the treatment in this group of patients, and today we are already using the third-generation EGFR TKIs. The review analyzes the experience of using the third-generation EGFR TKIs – osimertinib, through the prism of questions, asking by the practitioners: evaluation of the efficacy of treatment in routine practice, the management of difficult patients, in particular, the patients with bone and brain metastases, the patients with multiple primary tumors, the management tactics of patient taking into account the COVID-19 pandemic and related treatment interruptions. The literature and international experience review is completed by clinical cases from different regions of the Russian Federation.
Full Text
Осимертиниб – единственный ингибитор тирозинкиназы (ИТК) рецептора эпидермального фактора роста (epidermal growth factor receptor, EGFR), который продемонстрировал преимущество по общей выживаемости [1–9]. Предшествующие поколения препаратов не показали различий по этому показателю как по сравнению с химиотерапией, так и при сравнении между собой [2–9]. Так, прямое сравнительное исследование гефитиниба и афатиниба LUX-Lung 7 не выявило различий в выживаемости между этими препаратами [9]. Только в исследовании FLAURA, несмотря на кроссовер (пациенты в группе ИТК EGFR I поколения могли переходить на осимертиниб при прогрессировании заболевания и наличии мутации T790M) было достигнуто статистически и клинически значимое преимущество по общей выживаемости по сравнению с ИТК EGFR I поколения. Медиана общей выживаемости в группе осимертиниба превысила 3 года, риск смерти снизился на 20% [38,6 vs с 31,8 мес; относительный риск (ОР) 0,799,95% доверительный интервал (ДИ) 0,64–0,99; р=0,046)] [1]. Это очень важно, поскольку наша основная задача – снижение смертности от злокачественных новообразований (ЗНО).
Безусловно, клинические исследования помогают нам оценить эффективность, безопасность терапии и провести ее объективное сравнение с действующим стандартом лечения. Однако в клиническом исследовании невозможно учесть все то многообразие ситуаций, с которыми мы сталкиваемся в ежедневной практике. К настоящему времени уже накоплен значительный опыт применения осимертиниба в рутинной практике, в том числе в России, что позволяет расширить наше представление об ИТК EGFR III поколения, и в связи с этим нам представляется интересным посмотреть на данную опцию лечения через призму практического здравоохранения и тех вопросов, с которыми сталкиваются специалисты-онкологи в своей работе. Вот некоторые из них.
Длительность ответа на лечение и время до отмены таргетной терапии как параметры оценки эффективности в рутинной практике
В рутинной клинической практике, в отличие от рандомизированных клинических исследований, мы реже оперируем понятием выживаемости без прогрессирования (ВБП) и больше обращаем внимание на то, как долго пациент продолжает таргетную терапию. Это связано с тем, что ИТК EGFR не отменяют при бессимптомном прогрессировании, в случае олигопрогрессирования или при появлении очагов в центральной нервной системе (ЦНС), а также с потребностью максимально отложить химиотерапию [10–13]. И, безусловно, мы оцениваем ответ на лечение.
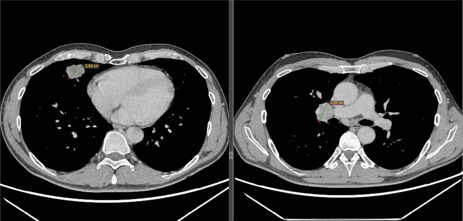
Рис. 1. Пациент 2. Компьютерная томография органов грудной клетки от 06.02.2020 г. (до начала лечения).
Fig. 1. Patient 2. Chest computed tomography,06.02.2020 (before the beginning of the treatment).
Для ИТК EGFR в целом характерна высокая частота ответов на лечение – 60–80% [2–9]. Сам ответ также наступает быстро. Известен так называемый эффект Лазаря, когда у пациентов с тяжелым соматическим статусом быстро происходит улучшение состояния. Согласно опубликованным данным, таких пациентов среди больных распространенным раком легкого немало – 34–50% [14].
Рис. 2. Пациент 2. Компьютерная томография органов грудной клетки от 07.04.2021 г. (через 1 год после начала терапии осимертинибом). Полный ответ.
Fig. 2. Patient 2. Chest computed tomography,07.04.2021 (one year after the beginning of therapy with osimertinib). Complete response.
Однако очень важен не только сам ответ на лечение, но и то, каким будет его продолжительность. Осимертиниб в рандомизированном клиническом исследовании FLAURA продемонстрировал частоту ответа на лечение 80% у пациентов с немелкоклеточным раком легкого (НМРЛ) и мутацией в гене EGFR в 1-й линии терапии. Длительность ответа была в 2 раза больше, чем на ИТК EGFR I поколения, и составила 17,2 мес vs 8,5 мес соответственно [1]. Большей длительности ответов соответствовала и более длительная ВБП. По данным исследования FLAURA, медиана ВБП составила 18,9 мес на осимертинибе и 10,2 мес на ИТК EGFR I поколения (OP=0,46,95% ДИ 0,37–0,57; p<0,0001) [1].
Рис. 3. Пациент 2. Позитронно-эмиссионная компьютерная томография органов грудной клетки от 23.06.2021 г. Снижение метаболической активности метастаза в лимфатический узел средостения, регресс опухоли легкого.
Fig. 3. Patient 2. Chest positron emission computed tomography,23.06.2021. The reduction of metabolic activity in mediastinal lymph node metastases, lung tumor regression.
Недавно были опубликованы результаты исследования FLOWER, изучавшего осимертиниб в рутинной клинической практике. Это исследование интересно тем, что оно было проспективным и многоцентровым. В нем приняли участие 126 пациентов. В этой работе частота ответов на лечение составила 73%, частота контроля над заболеванием (ответы на лечение и стабилизация заболевания) – 96%. Продолжительность ответа в работе не оценивалась, но очень интересно, что медиана ВБП на осимертинибе, так же, как и в регистрационном исследовании, составила 18,9 мес. Медиана времени до отмены лечения оценивалась в качестве первичной конечной точки исследования и составила 25,3 мес. Медиана общей выживаемости на момент публикации результатов исследования достигнута не была [15].
Приведем клинические наблюдения из опыта российских специалистов (табл. 1).
Таблица 1. Клинические случаи рака бронхов и легкого из опыта российских специалистов Table 1. Clinical cases of lung cancer according to the experience of Russian specialists | |||||||
Пациенты | 1 | 2 | 3 | 4 | 5 | 6 | 7 |
Пол | Ж | М | М | Ж | Ж | Ж | Ж |
Возраст, лет | 52 | 50 | 60 | 73 | 71 | 62 | 51 |
Статус курения | - | Ранее курил 10 лет по 1 пачке в день (с 2008 г. не курит) | - | - | - | - | - |
Диагноз | Периферический рак нижней доли левого легкого T2aN3M1b. Стадия IV, метастатическое поражение обоих легких, головного мозга, грудного отдела позвоночника, надключичных лимфатических узлов справа | Периферический рак средней доли правого легкого T4N3M0. Стадия IIIС | Периферический рак нижней доли левого легкого T4NXM1. Стадия IVa, метастазы в легкое, плевру | Рак левого легкого рT2bN1M0. Стадия IIВ, мтс рецидив – метастазы в лимфатические узлы шеи, надключичные лимфатические узлы слева, множественные метастазы в головной мозг, метастазы в V ребре слева | Рак правого легкого Т1N0М0. Стадия I, мтс рецидив – метастазы в легкие, лимфатические узлы средостения, позвоночник | Центральный рак верхнедолевого бронха справа, T1bN2M1. Стадия IV, метастазы в шейно-надключичные лимфатические узлы с обеих сторон, забрюшинные лимфатические узлы | Периферический рак верхней доли правого легкого Т1bN0M1b. Стадия IV, метастазы в плевру и головной мозг |
Тип мутации | Ex 19 del | Ex 19 del | Ex 19 del | Ex 19 del | L858R | Ex 19 del | ? |
Метастазы в ЦНС | + | - | - | + | - | - | + |
Особенности | Симптомные метастазы в головном мозге | Отказ от проведения химиолучевой терапии | PD-L1+ | Экспрессия PD-L1 55% | Множественные костные метастазы | Перерыв в лечении 2 мес в связи с COVID-19 | Светлоклеточный рак почки Т1N0M0 |
Ответ на лечение осимертинибом | Частичный ответ | Полный ответ (рис. 1–3) | Частичный ответ | Полный ответ | Невозможно оценить, исчезновение очагов в легких, уменьшение размеров и количества костных метастазов | Частичный ответ | Невозможно оценить ввиду резекции очагов в легком. Единичный метастаз в головном мозге без динамики |
Время на терапии осимертинибом, мес | 15 | 22+ | 22+ | 24+ | 27+ | 23 | 16+ |
Переносимость | НЯ не зафиксировано | НЯ не зафиксировано | НЯ не зафиксировано | НЯ не зафиксировано | НЯ 1–2-й степени: слабость, головокружение, нарушение вкусовой чувствительности на всех курсах лечения; анемия на первых курсах; ринорея; сухость кожи. Данные симптомы не потребовали коррекции дозы или отмены препарата | НЯ 1-й степени: кожные высыпания | НЯ не зафиксировано |
В представленных случаях мы также отмечаем ответы на лечение и видим, что эффект наступает быстро и сохраняется длительное время. Длительность таргетной терапии превышает 12 мес во всех представленных примерах. Интересно, что это пациенты разного возраста, с разной распространенностью заболевания, разного профиля (с метастазами в ЦНС/сочетанным ЗНО другой локализации/с перерывами в терапии). Кроме того, в двух случаях (3 и 4) мы видим высокий уровень PD-L1-экспрессии. И очень важно, что до начала лечения было также проведено молекулярно- генетическое тестирование и определен статус мутации в гене EGFR. Следует обратить внимание на то, что оба пациента ответили на лечение и ответ сохранялся на момент написания статьи более 20 мес. Результаты исследования FLAURA также подтверждают, что эффективность осимертиниба у пациентов с EGFRm-НМРЛ не зависит от уровня экспрессии PD-L1 [16].
B то же время клинические данные указывают на то, что иммунотерапия неэффективна у пациентов с наличием EGFR-мутации, ранее не получавших таргетную терапию [17, 18]. Это, вероятно, связано с тем, что такое генетическое нарушение приводит к сильной иммуносупрессии. Однако, как показало исследование Impower 150, комбинированные режимы химиоиммунотерапии могут оказаться эффективны у пациентов после прогрессирования на таргетной терапии. Так, медиана ВБП у пациентов с EGFRm-НМРЛ после прогрессирования на ИТК EGFR при применении комбинации атезолизумаба, бевацизумаба и платиносодержащей химиотерапии составила 9,7 мес [19]. По-видимому, это объясняется тем, что при прогрессировании опухоль становится более гетерогенной, и повышается мутационная нагрузка, а также с тем, что используется не моноиммунотерапия, а комбинация препаратов с различными механизмами действия.
Переносимость лечения
Выше мы отметили, что время на терапии при применении осимертиниба существенно выше по сравнению с ИТК EGFR предыдущих поколений, и потому возросли и наши требования к безопасности и переносимости этого вида лечения.
Исходя из данных исследования FLAURA, можно сделать вывод, что переносимость препарата по крайней мере не уступала хорошо зарекомендовавшим себя ИТК EGFR I поколения. Так, cерьезные нежелательные явления (НЯ) встречались в 27% случаев в обеих группах. Частота отмены препарата вследствие НЯ составила 15% при применении осимертиниба в сравнении с 18% при использовании гефитиниба/эрлотиниба. Частота перерывов в лечении в связи с НЯ – 29 и 26% соответственно [1].
На наш взгляд, представляется интересным привести данные S. Igawa и соавт. В этой работе были проспективно проанализированы эффективность и безопасность лечения осимертинибом в рутинной практике у 43 пациентов старше 75 лет. Из них 23% на момент начала наблюдения имели статус 2 по шкале ECOG (Eastern Cooperative Oncology Group, шкала оценки общего состояния онкологического пациента). НЯ 3-й степени тяжести были зарегистрированы у 6 (14%) пациентов, НЯ 4-й степени отмечено не было. Ни одной связанной с лечением смерти не зафиксировано. Частота отмены терапии в связи с развитием НЯ составила 14% [20].
В представленных клинических примерах (табл. 1) мы также видим, что НЯ отмечались лишь у 2 пациентов из 7, были легкой степени тяжести и легко купировались.
Отдельные группы пациентов
Пациенты с метастатическим поражением головного мозга
У больных раком легкого в случае выявления в опухоли мутации в гене EGFR наблюдается более высокая частота метастазов в головном мозге при постановке первичного диагноза в сравнении с пациентами, у которых в опухоли присутствует ген EGFR только дикого типа. Высокая частота метастазов в головном мозге у пациентов с наличием мутации гена EGFR может быть обусловлена и возрастающей вероятностью развития таких метастазов в связи с более длительным периодом жизни на фоне ИТК EGFR [21–24]. Осимертиниб продемонстрировал способность проникать через гематоэнцефалический барьер, в том числе у здоровых добровольцев [25].
Пациентов с метастазами в ЦНС включали и в исследование FLAURA. Частота интракраниального ответа в группе осимертиниба составила 91% vs 68% в группе гефитиниба/ эрлотиниба (для измеримых очагов) [1, 26, 27]. Было показано, что у этой группы пациентов риск прогрессирования в ЦНС при применении осимертиниба снижается вдвое по сравнению с ИТК EGFR I поколения, а доля пациентов с прогрессированием в ЦНС через 1 год после начала лечения составила 8% на осимертинибе и 24% – на гефитинибе/ эрлотинибе [27]. Для афатиниба аналогичный показатель оценивали по объединенным данным исследований программы LUX-Lung: кумулятивная частота прогрессирования в ЦНС через 1 год после начала лечения составила 24,5% [28].
Важно, что осимертиниб не только позволяет получать ответ на лечение, если метастазы в ЦНС присутствовали на момент начала терапии, но и предотвращает появление таких метастазов в дальнейшем [1, 29]. Именно поэтому применение этого препарата в 1-й линии терапии оправданно как у пациентов с метастазами в ЦНС, так и у пациентов без исходного метастатического поражения головного мозга.
Недавно была опубликована еще одна интересная работа – исследование ODIN-BM. В этом небольшом исследовании пациентам с EGFRm-НМРЛ с метастатическим поражением головного мозга вводили осимертиниб, меченный изотопом углерода, и проводили позитронно-эмиссионное сканирование. Интересно отметить, что максимальная концентрация препарата в ЦНС достигалась в течение 11–42 мин после введения и сохранялась на протяжении 90 мин после достижения максимальной концентрации. Было отмечено значительное уменьшение общего объема опухолевых очагов в головном мозге на 55–95% уже через 3–4 нед после начала лечения осимертинибом [30].
В представленном нами выше клиническом примере 4 (табл. 1) у пациентки полный ответ в головном мозге был отмечен уже на первом контроле – спустя 3 мес после начала терапии и сохранялся в течение всего периода наблюдения – более 24 мес (ответ сохранялся на момент написания статьи). Здесь на себя обращает внимание и возраст пациентки – 73 года.
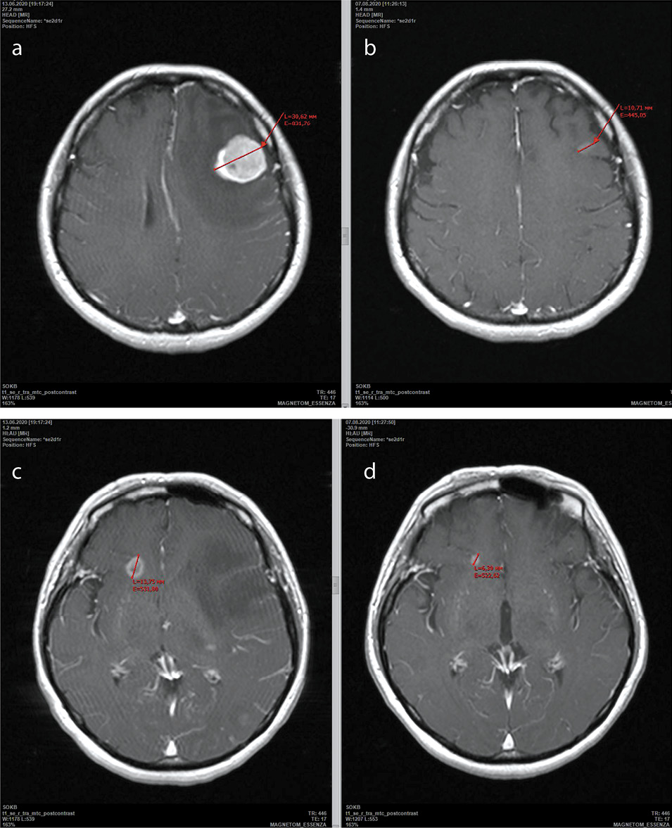
В клиническом примере 1 у пациентки исходно имелись симптомные метастазы в головной мозг. Также на первом контроле неврологические симптомы исчезли, был достигнут частичный ответ (как экстра-, так и интракраниальный; рис. 4). Пациентка продолжала лечение на протяжении 15 мес. Терапия была прервана в связи с установленной новой коронавирусной инфекцией, осложненной двусторонней пневмонией с тяжелым течением, и последующей гибелью пациентки.
Рис. 4. Пациент 1. Магнитно-резонансная томография: a, c – до начала терапии осимертинибом; b, d – через 2 мес.
Fig. 4. Patient 1. Magnetic resonance imaging: a, c – the beginning of osimertinib therapy; b, d – 2 months after.
Пациенты с костными метастазами
Костные метастазы у пациентов с НМРЛ встречаются в 30–60% случаев. Их появление приводит к ухудшению выживаемости, боли в костях и другим осложнениям (переломы, сдавление костного мозга, гиперкальциемия и др.). Рак легкого с мутацией в гене EGFR, вероятно, имеет большую предрасположенность к метастазированию в кости.
ИТК EGFR высокоэффективны у этой группы пациентов и снижают частоту развития соответствующих осложнений. Это связано с блокированием лиганда рецептора-активатора ядерного фактора NF-κB (RANKL), который отвечает за активацию остеокластов, и ингибированием сигнального пути эпидермального фактора роста (EGF) в стромальных клетках кости [31].
В настоящее время не существует сравнительных исследований по эффективности ИТК EGFR различных поколений именно в отношении метастатического поражения костей. Имеется работа, в которой изучали применение осимертиниба (+/-бевацизумаб) на мышиных моделях костных метастазов НМРЛ. Осимертиниб (+/-бевацизумаб) приводил к регрессии опухоли и ремоделированию костной ткани [31].
Интересно, что совместное применение ИТК EGFR и бисфосфонатов потенциально может усиливать эффект терапии. В работе Chang и соавт. на клеточных линиях НМРЛ HCC827 с мутацией в гене EGFR комбинирование гефитиниба и золедроновой кислоты усиливало регрессию опухоли. В небольшом ретроспективном исследовании Cui и соавт. (n=38) изучали эффективность биcфосфонатов у пациентов с аденокарциномой легкого с наличием мутации в гене EGFR и костными метастазами, получавшими лечение ИТК EGFR. Был показан значительный аддитивный эффект двух групп препаратов на выживаемость после диагностирования метастазов в костях: 28,3 мес на терапии ИТК EGFR + бисфосфонат в сравнении с 22,0 мес в группе, получавшей только ИТК EGFR (p=0,0587). В другой аналогичной работе (n=62) были получены сходные результаты (увеличение ВБП и общей выживаемости в группе пациентов, получавших ИТК EGFR в сочетании с бисфосфонатами, по сравнению с группой, получавшей только ИТК EGFR). Ввиду ретроспективного характера и небольших выборок указанных наблюдений в настоящее время можно лишь отметить тренд, однако гипотеза требует дальнейшего подтверждения. Однако в целом это представляется интересным для оценки. Что касается изучения влияния деносумаба на эффективность ИТК EGFR, то такие работы пока не опубликованы [31].
В табл. 1 мы также приводим один из клинических случаев с метастатическим поражением костей (случай 5). Диагноз был впервые поставлен в 2013 г. – аденокарцинома правого легкого, стадия I (Т1N0М0) – проведена верхняя лобэктомия. В сентябре 2019 г. зарегистрирован рецидив заболевания: метастазы в легкие, лимфатические узлы средостения, позвоночник. С октября 2019 г. пациентке был назначен осимертиниб, проводилось лечение деносумабом в течение 9 мес. В сентябре 2020 г. была проведена дистанционная лучевая терапия на область ThXII–LI (СОД=24 Гр). По данным первой контрольной компьютерной томографии после начала терапии осимертинибом – исчезновение очагов в легких, положительная динамика в отношении лимфатических узлов средостения. По данным однофотонной эмиссионной компьютерной томографии отмечается положительная динамика за счет уменьшения числа, размеров и снижения метаболической активности в ранее выявленных очагах поражения костной системы. Пациентка продолжает терапию осимертинибом уже более 2 лет (рис. 5).
Рис. 5. Пациент 5. Однофотонная эмиссионная компьютерная томография: a – от 17.10.19 – до начала лечения; b – снимки на фоне терапии осимертинибом от октября и марта 2021 г.
Fig. 5. Patient 5. Single-photon emission computed tomography: a – 17.10.19 – before the beginning of the treatment; b – images against the background of osimertinib therapy, October and March 2021.
Пациенты с первично-множественными опухолями
Число случаев первично-множественных опухолей (ПМЗО) растет во всем мире. В опубликованном 25-летнем наблюдении в рамках одного центра, содержащем данные о 109 054 пациентах, частота ПМЗО (включает син- и метахронные ПМЗО) составила 1,63%. В этом исследовании показано, что большинство пациентов с ПМЗО были старше, чем пациенты с одним ЗНО. Кроме того, частота ПМЗО была выше у женщин. По результатам этой работы, рак легкого замыкал десятку наиболее частых ЗНО среди случаев первично-множественных опухолей (2,8%) [32].
Согласно данным эпидемиологических исследований разных стран, частота ПМЗО варьирует от 2 до 17%. В целом у пациентов с диагнозом «рак легкого» частота ПМЗО варьирует от 13,4 (Rosso и соавт.,2 919 023 пациента, данные наблюдения недоступны, IACR) до 22% (Sanchez и соавт.,1769 пациентов, период наблюдения – 5–23 года, только пациенты с продолжительностью жизни >3 лет – 12,3%). Интересно, что пациенты с опухолями легкого, диагностированными на ранних стадиях, имеют повышенный риск развития второго ЗНО по сравнению с пациентами без предшествующих ЗНО в анамнезе. Во многих случаях развитие второго ЗНО связано с курением. Если рак легкого является первым диагностированным ЗНО, частота ПМЗО несколько ниже при аденокарциноме, чем при плоскоклеточном раке легкого. Наиболее часто второе ЗНО – это также ЗНО легкого, и аденокарцинома – наиболее частый тип вторых ЗНО легкого [33].
Подходы к лечению таких пациентов представляют собой сложную задачу. Этих больных чаще всего исключают из клинических исследований.
ПМЗО обычно разделяют на синхронные и метахронные. В работе A. Vogt и соавт. авторы также предлагают использовать такое разделение, и в зависимости от клинической ситуации приводится перечень возможных вопросов для принятия решения о стратегии ведения таких больных, табл. 2 [33].
В базе данных SEER (Surveillance, Epidemiology, and End Results, США) синхронными предложено считать опухоли, которые диагностированы одновременно, или интервал в их диагностике не превышает 2 мес. В случае, если вторая первичная опухоль обнаруживается позднее, такие опухоли считают метахронными. Международное агентство по изучению рака IARC (International Agency for Research on Cancer) предлагает больший интервал – 6 мес [33].
Хочется здесь обсудить опыт из российской клинической практики. В табл. 1 мы представили случай 7. Пациентка заболела COVID-19, при прохождении компьютерной томографии было выявлено очаговое образование верхней доли правого легкого. Диагноз был подтвержден морфологически, обнаружена мутация в гене EGFR. При дообследовании диагностировано метастатическое поражение головного мозга, а также, помимо опухоли легкого, было отмечено образование в левой почке. Пациентке была выполнена верхняя лобэктомия и назначен осимертиниб. Через несколько месяцев после начала лечения по поводу рака легкого с учетом достигнутого контроля заболевания была проведена лапароскопическая резекция левой почки (по данным гистологического заключения – светлоклеточный рак почки Т1N0M0). Терапия осимертинибом продолжается на момент написания статьи уже 16 мес без признаков рецидива обоих заболеваний.
Пациенты с COVID-19
К сожалению, в настоящее время пандемия COVID-19 продолжается, а откладывать лечение онкологических пациентов нельзя. Особенно это актуально для больных раком легкого, поскольку в отсутствие адекватного лечения прогноз заболевания крайне неблагоприятен, и выживаемость пациентов с распространенной стадией не превышает нескольких месяцев. При этом крайне важно оценивать баланс пользы и рисков того или иного вида лечения в каждой клинической ситуации.
В данной работе мы обсуждаем пациентов с распространенным EGFRm-НМРЛ, которым показаны ИТК EGFR. В силу отсутствия миелосупрессивного действия, благоприятного и контролируемого профиля безопасности, а также возможности приема препаратов пациентом на дому все клинические рекомендации по ведению онкологических пациентов с COVID-19 не ограничивают применение таргетной терапии, ей отдается предпочтение [34–37]. В случае, если пациент заболел COVID-19, большинство рекомендаций оставляют решение об отмене или продолжении терапии за лечащим врачом. Более подробно такая ситуация описана в китайских клинических рекомендациях по ведению пациентов с диагнозом «рак легкого».
Китай первым столкнулся с COVID-19, и в этой стране зарегистрирована высокая распространенность рака легкого, поэтому опыт коллег представляется интересным. Согласно данным клинических рекомендаций, возможно продолжение таргетной терапии, если она была начата ранее, при COVID-19 легкой и средней тяжести, однако необходимо строго контролировать НЯ, и в случае их появления дифференцировать побочные эффекты на фоне противо- опухолевой терапии от симптомов COVID-19. НЯ ≤3-й степени рекомендуется корректировать удаленно. При тяжелой форме течения COVID-19 терапия отменяется. После выздоровления пациента (отрицательный тест на COVID-19) необходима умеренная отсрочка в приеме таргетной терапии (не менее 2 нед) [38]. К сожалению, определить возможное время максимального перерыва может только лечащий врач. В данном случае целесообразно принимать решение на основании данных инструментального обследования: если опухоль по данным компьютерной/ магнитно-резонансной томографии не прогрессирует или это бессимптомное либо олигопрогрессирование, то, вероятно, лечение следует продолжить.
Таблица 2. Перечень вопросов для принятия решения о стратегии ведения больных синхронным и метахронным раком Table 2. The list of questions for the strategy for managing patients with synchronous and metachronous cancer | |
Синхронный рак/метахронный рак, когда оба ЗНО активны | Метахронный рак, когда по поводу первично-диагностированной опухоли было проведено радикальное лечение |
· Какое ЗНО более значимо с точки зрения влияния на прогноз? Есть ли какая-то возможность провести радикальное лечение или возможно только паллиативное? Если только паллиативное, у какой из опухолей есть отдаленные метастазы и какова динамика каждой из опухолей (по данным инструментальных методов обследования/опухолевым маркерам)? Какие существуют опции системного лечения? · Стратегия лечения должна фокусироваться на локальной или системной терапии? Можно ли провести радикальное лечение одной из синхронных опухолей и затем последовательно провести лечение второй? · Какие могут возникнуть проблемы/осложнения? Например, печеночная недостаточность в случае обширного метастатического поражения · Если системное лечение необходимо для, например, двух распространенных ЗНО, есть ли лечение, которое будет эффективно для обоих из них? Если нет, то имеется ли лекарственное взаимодействие между необходимыми лекарственными препаратами, показанными для лечения каждой опухоли (метаболизм через печень, например, цитохром-Р, или влияние на QT-интервал)? Возможно, в литературе описан опыт применения комбинации этих препаратов? Будет ли эффективна химиотерапия? Можно ли вести лечение последовательно/попеременно (например, схема А для ЗНО А в течение 2–3 мес, а затем схема Б для ЗНО Б)? · Могут ли в синхронных опухолях присутствовать одни и те же генетические поломки, что позволит использовать единую стратегию лечения? | · Можно ли провести радикальное лечение второй опухоли? · Какое лечение было проведено для первого ЗНО? – Хирургическое лечение: если это вторая опухоль в том же органе – можно ли провести еще одну операцию? – Лучевая терапия: есть ли перекрытие с предыдущим полем облучения? Может ли предшествующая лучевая терапия быть причиной развития второго ЗНО? Какова была лучевая нагрузка на здоровые ткани в ранее облученной зоне? Какова оставшаяся предельно допустимая доза облучения? Возможно ли провести радикальную лучевую терапию или допустимо использовать только паллиативные режимы/дозы? – Системная терапия: какая схема применялась? Сколько времени прошло с ее завершения? Какова кумулятивная доза (например, антрациклины)? Есть ли остаточная токсичность (например, нейропатия, миелотоксичность)? Возможно ли, что возникновение второго ЗНО спровоцировано ранее полученным лечением? · Возможны ли какие-то осложнения, исходя из анамнеза пациента? · Существуют ли какие-то канцерогенные факторы риска, которые можно нивелировать? Например, курение, употребление алкоголя, вирусная инфекция |
Здесь также хочется привести российский опыт на примере случая 6 (табл. 1). Диагноз рака легкого был поставлен в 2019 г., T1bN2M1. Обнаружена мутация в гене EGFR. Начато лечение осимертинибом. На первом контроле отмечено уменьшение размеров опухолевых очагов. Пациентка получила 12 курсов терапии осимертинибом и на 13-м курсе была госпитализирована в связи с COVID-19. По данным компьютерной томографии – картина острой двусторонней полисегментарной интерстициальной пневмонии вирусной этиологии с поражением с каждой стороны до 85% легочной ткани. Размеры опухолевого узла – до 1,5 см. Пациентка находилась на искусственной вентиляции легких. Суммарно провела на стационарном лечении в трех лечебных учреждениях около 2 мес, все это время лечения по поводу рака легкого не получала. За это время отрицательной динамики со стороны опухолевых очагов отмечено не было, и терапия была возобновлена. Общее время на терапии осимертинибом составило 23 мес.
Заключение
Рандомизированные клинические исследования – золотой стандарт для оценки эффективности и безопасности новых опций лечения. Однако такие группы пациентов, как пожилые больные, пациенты с плохим соматическим статусом, симптомным поражением ЦНС и сопутствующими патологиями, часто исключаются из них или представлены недостаточно широко. Данные из реальной клинической практики позволяют получить дополнительную ценную информацию для всех участников лечебного процесса – пациентов, врачей и регуляторов.
Обобщая данные рандомизированных клинических и наблюдательных исследований, а также клинического опыта, хотелось бы заключить, что применение осимертиниба в качестве терапии 1-й линии позволит каждому пациенту с EGFRm-НМРЛ получить пользу от наиболее эффективного лечения. Важно не откладывать эту опцию в качестве резерва. Многократное воздействие системной терапии при выборе стратегии последовательного применения ИТК EGFR может привести к усилению гетерогенности опухоли и, как следствие, к худшему/менее длительному ответу на лечение в последующих линиях терапии. Следовательно, пациент может получить большее преимущество от наиболее эффективной опции, если ее применять в 1-й, а не последующих линиях. При выборе последовательного подхода также необходимо помнить о том, что он может быть реализован не более чем у 1/3 пациентов, и мы не можем предсказать, у кого именно.
Раскрытие интересов. Авторы декларируют отсутствие явных и потенциальных конфликтов интересов, связанных с публикацией настоящей статьи.
Disclosure of Interest. The authors declare that they have no competing interests.
Вклад авторов. Авторы декларируют соответствие своего авторства международным критериям ICMJE. Все авторы в равной степени участвовали в подготовке публикации: разработка концепции статьи, получение и анализ фактических данных, написание и редактирование текста статьи, проверка и утверждение текста статьи.
Authors’ contribution. The authors declare the compliance of their authorship according to the international ICMJE criteria. All authors made a substantial contribution to the conception of the work, acquisition, analysis, interpretation of data for the work, drafting and revising the work, final approval of the version to be published and agree to be accountable for all aspects of the work.
Источник финансирования. Материал подготовлен при финансовой поддержке компании «АстраЗенека». При подготовке рукописи авторы сохранили независимость мнений.
Funding source. This article was supported by AstraZeneca. During the preparation of the manuscript, the authors maintained their independence of opinion.
Информированное согласие на публикацию. Пациенты подписали форму добровольного информированного согласия на публикацию медицинской информации.
Consent for publication. Written consent was obtained from the patients for publication of relevant medical information and all of accompanying images within the manuscript.
About the authors
Sergey V. Orlov
Pavlov First Saint Petersburg State Medical University
Email: orloff-sv@mail.ru
ORCID iD: 0000-0001-6080-8042
D. Sci. (Med.), Corr. Memb. RAS, Leading Res. Officer
Russian Federation, Saint PetersburgPavel L. Baldin
Republican Clinical Oncological Dispensary
Email: pavelbaldin83@mail.ru
ORCID iD: 0000-0001-5987-670X
Department Head, Republican Clinical Oncological Dispensary
Russian Federation, Naberezhnye ChelnyNatalia V. Diuzeva
Kostroma Oncological Dispensary
Email: 89106613895@mail.ru
ORCID iD: 0000-0001-5843-4635
Department Head
Russian Federation, KostromaAnastasia V. Krechetova
Kryzhanovsky Krasnoyarsk Regional Clinical Oncological Dispensary
Email: AnastasiaKrechetova@yandex.ru
ORCID iD: 0000-0003-0249-3956
oncologist
Russian Federation, KrasnoyarskAleksey A. Mordovskiy
Surgut District Clinical Hospital
Author for correspondence.
Email: mordovskiy@mail.ru
ORCID iD: 0000-0002-8220-0027
oncologist
Russian Federation, SurgutAleksandr N. Moskovchenko
Oncological Dispensary
Email: Moskit74@gmail.com
ORCID iD: 0000-0002-4865-6856
Deputy Chief doctor
Russian Federation, TaganrogNatalia E. Musaeva
Kryzhanovsky Krasnoyarsk Regional Clinical Oncological Dispensary
Email: musa-eva100@mail.ru
ORCID iD: 0000-0002-1999-0847
oncologist
Russian Federation, KrasnoyarskOlga V. Romanchuk
City Clinical Hospital №40
Email: olga99995566@mail.ru
ORCID iD: 0000-0003-3505-6736
Department Head
Russian Federation, MoscowReferences
- Ramalingam SS, Vansteenkiste J, Planchard D, et al. Overall Survival with Osimertinib in Untreated, EGFR-Mutated Advanced NSCLC. N Engl J Med. 2020;382(1):41-50. doi: 10.1056/NEJMoa1913662
- Lee CK, Davies L, Wu Y, et al. Gefitinib or Erlotinib vs Chemotherapy for EGFR Mutation-Positive Lung Cancer: Individual Patient Data Meta-Analysis of Overall Survival. J Natl Cancer Inst. 2017;109(6):1-13. doi: 10.1093/jnci/djw279
- Wu Y-L, Zhou C, Liam C-K, et al. First-line erlotinib versus gemcitabine/cisplatin in patients with advanced EGFR mutation-positive non-small-cell lung cancer: analyses from the phase III, randomized, open-label, ENSURE study. Ann Oncol. 2015;26:1883-9. doi: 10.1093/annonc/mdv270
- Zhou C, Wu Y-L, Chen G, et al. Final overall survival results from a randomised, phase III study of erlotinib versus chemotherapy as first-line treatment of EGFR mutation-positive advanced non-small-cell lung cancer (OPTIMAL, CTONG-0802). Ann Oncol. 2015;26:1877-83. doi: 10.1093/annonc/mdv276
- Fukuoka M, Wu Y-L, Thongprasert S, et al. Biomarker analyses and final overall survival results from a phase III, randomized, open-label, first-line study of gefitinib versus carboplatin/paclitaxel in clinically selected patients with advanced non-small-cell lung cancer in Asia (IPASS). J Clin Oncol. 2011;29:2866-74. doi: 10.1200/JCO.2010.33.4235
- Inoue A, Kobayashi K, Maemondo M, et al. Updated overall survival results from a randomized phase III trial comparing gefitinib with carboplatin-paclitaxel for chemo-naïve non-small cell lung cancer with sensitive EGFR gene mutations (NEJ002). Ann Oncol. 2013;24:54-9. doi: 10.1093/annonc/mds214
- Yoshioka H, Shimokawa M, Seto T, et al. Final overall survival results of WJTOG3405, a randomized phase III trial comparing gefitinib versus cisplatin with docetaxel as the first-line treatment for patients with stage IIIB/IV or postoperative recurrent EGFR mutation-positive non-small-cell lung cancer. Ann Oncol. 2019; 30(12):1978-84. doi: 10.1093/annonc/mdz399
- Yang J C-H, Wu Y-L, Schuler M, et al. Afatinib versus cisplatin-based chemotherapy for EGFR mutation-positive lung adenocarcinoma (LUX-Lung 3 and LUX-Lung 6): analysis of overall survival data from two randomised, phase 3 trials. Lancet Oncol. 2015;16:141-51. doi: 10.1016/S1470-2045(14)71173-8
- Paz-Ares L, Tan EH, O’Byrne K, et al. Afatinib versus gefitinib in patients with EGFR mutation-positive advanced non-small-cell lung cancer: overall survival data from the phase IIb LUX-Lung 7 trial. Ann Oncol. 2017;28(2):270-7. doi: 10.1093/annonc/mdw611
- Planchard D, Popat S, Kerr K, et al. Metastatic non-small cell lung cancer: ESMO Clinical Practice Guidelines for diagnosis, treatment and follow-up. Ann Oncol. 2018;29(Suppl. 4):iv192-237. Updated version published 15 September 2020 by the ESMO Guidelines Committee. Available at: https://www.esmo.org/content/download/347819/6934778/1/ESMO-CPGmNSCLC-15SEPT2020.pdf/ Accessed: 24.01.2022. doi: 10.1093/annonc/mdy275
- NCCN Clinical Practice Guidelines in Oncology (NCCN Guidelines®). Non-Small Cell Lung Сancer. V.2.2021. Available at: https://www.nccn.org/guidelines/guidelines-detail?category=1&id=1450/ Accessed: 24.01.2022.
- Лактионов К.К., Артамонова Е.В., Бредер В.В., и др. Практические рекомендации по лекарственному лечению немелкоклеточного рака легкого. Злокачественные опухоли. 2020;10(3s2-1):40-59 [Laktionov KK, Artamonova EV, Breder VV, et al. Prakticheskie rekomendatsii po lekarstvennomu lecheniiu nemelkokletochnogo raka legkogo. Malignant Tumours. 2020;10(3s2-1):40-59 (in Russian)]. doi: 10.18027/2224-5057-2020-10-3s2-02
- Клинические рекомендации. Злокачественное новообразование бронхов и легкого,2021. Режим доступа: https://cr.minzdrav.gov.ru/recomend/30_1/ Ссылка активна на 24.01.2022 [Klinicheskie rekomendatsii. Zlokachestvennoe novoobrazovanie bronkhov i legkogo. 2021. Available at: https://cr.minzdrav.gov.ru/recomend/30_1/ Accessed: 24.01.2022 (in Russian)].
- Lilenbaum RC, Cashy J, Hensing TA, et al. Prevalence of poor performance status in lung cancer patients: implications for research. J Thorac Oncol. 2008;3:125-9. doi: 10.1097/JTO.0b013e3181622c17
- Lorenzi M, Ferro A, Cecere F, et al. First-Line Osimertinib in Patients with EGFR-Mutant Advanced Non-Small Cell Lung Cancer: Outcome and Safety in the Real World: FLOWER Study. Oncologist. 2021. doi: 10.1002/onco.13951
- Brown H, Vansteenkiste J, Nakagawa K, et al. Programmed Cell Death Ligand 1 Expression in Untreated EGFR Mutated Advanced NSCLC and Response to Osimertinib Versus Comparator in FLAURA. J Thorac Oncol. 2020;15(1):138-43. doi: 10.1016/j.jtho.2019.09.009
- Lisberg A, Cummings A, Goldman JW, et al. A Phase II Study of Pembrolizumab in EGFR-Mutant, PD-L1+, Tyrosine Kinase Inhibitor Naive Patients With Advanced NSCLC. J Thorac Oncol. 2018;13(8):1138-45. doi: 10.1016/j.jtho.2018.03.035
- Gettinger S, Rizvi NA, Chow LQ, et al. Nivolumab Monotherapy for First-Line Treatment of Advanced Non-Small-Cell Lung Cancer. J Clin Oncol. 2016;34(25):2980-7. doi: 10.1200/JCO.2016.66.9929
- Reck M, Mok TSK, Nishio M, et al. Atezolizumab plus bevacizumab and chemotherapy in non-small-cell lung cancer (IMpower150): key subgroup analyses of patients with EGFR mutations or baseline liver metastases in a randomised, open-label phase 3 trial. Lancet Respir Med. 2019;7(5):387-401. doi: 10.1016/S2213-2600(19)30084-0
- Igawa S, Kasajima M, Ono T, et al. A Prospective Observational Study of Osimertinib for Chemo-Naive Elderly Patients with EGFR Mutation-Positive Non-Small Cell Lung Cancer. Cancer Manag Res. 2021;13:8695-705. doi: 10.2147/CMAR.S339891
- Han G, Bi J, Tan W, et al. A retrospective analysis in patients with EGFR-mutant lung adenocarcinoma: is EGFR mutation associated with a higher incidence of brain metastasis? Oncotarget. 2016;7(35):56998-7010. doi: 10.18632/oncotarget.10933
- Stanic K, Zwitter M, Hitij NT, et al. Brain metastases in lung adenocarcinoma: impact of EGFR mutation status on incidence and survival. Radiol Oncol. 2014;48(2):173-83. doi: 10.2478/raon-2014-0016
- Rangachari D, Yamaguchi N, VanderLaan PA, et al. Brain metastases in patients with EGFR-mutated or ALK-rearranged non-small-cell lung cancers. Lung Cancer. 2015;88(1):108-11. doi: 10.1016/j.lungcan.2015.01.020
- Li Y-S, Jiang B-Y, Yang J-J, et al. Leptomeningeal Metastases in Patients with NSCLC with EGFR Mutations. J Thorac Oncol. 2016;11(11):1962-9. doi: 10.1016/j.jtho.2016.06.029
- Varrone A, Varnas K, Jucaite A, et al. A PET study in healthy subjects of brain exposure of 11 C-labelled osimertinib – A drug intended for treatment of brain metastases in non-small cell lung cancer. J Cereb Blood Flow Metab. 2020;40(4):799-807. doi: 10.1177/0271678X19843776
- Vansteenkiste J, Reungwetwattana T, Nakagawa K, et al. CNS response to osimertinib vs standard of care (SoC) EGFR-TKI as first-line therapy in patients (pts) with EGFR-TKI sensitising mutation (EGFRm)-positive advanced non-small cell lung cancer (NSCLC): data from the FLAURA study (LBA5). In: European Society of Medical Oncology Asia Congress; 2017 Nov 17-19; Singapore. Abstract 2136. Available at: https://oncologypro.esmo.org/meeting-resources/esmo-asia-2017-congress/CNS-response-to-osimertinib-vs-standard-of-care-SoC-EGFR-TKI-as-first-line-therapy-in-patients-pts-with-EGFR-TKI-sensitising-mutation-EGFRm-positive-advanced-non-small-cell-lung-cancer-NSCLC-data-from-the-FLAURA-study-LBA5/ Accessed: 24.01.2022.
- Reungwetwattana T, Nakagawa K, Chul Cho B, et al. CNS Response to Osimertinib Versus Standard Epidermal Growth Factor Receptor Tyrosine Kinase Inhibitors in Patients With Untreated EGFR-Mutated Advanced Non-Small-Cell Lung Cancer. J Clin Oncol. 2018;JCO2018783118. doi: 10.1200/JCO.2018.78.3118
- Yang J C-H, Wu Y-L, Hirsh V, et al. Competing central nervous system or systemic progression analysis for patients with EGFR mutation-positive NSCLC receiving afatinib in LUX-Lung 3,6, and 7. In: European Lung Cancer Congress (ELCC); 2018 April 11-14; Geneva, Switzerland. Poster 143PD. Available at: https://www.inoncology.com/sites/default/files/poster/elcc_2018_cns_activity_poster.pdf/ Accessed: 24.01.2022.
- Wu Y-L, Tsuboi M, He J, et al. Osimertinib in Resected EGFR-Mutated Non-Small-Cell Lung Cancer. N Eng J Med. 2020;383(18):1711-23. doi: 10.1056/NEJMoa2027071
- Ekman S, Cselenyi Z, Varrone A, et al. A PET and MRI study exploring osimertinib brain exposure and efficacy in EGFRm NSCLC CNS metastases. In: WCLC 2020; 2021 January 28-31; Singapore. Poster P76.72. Available at: https://www.jto.org/article/S1556-0864(21)01171-0/fulltext/ Accessed: 24.01.2022. doi: 10.1016/j.jtho.2021.01.1129
- Brouns A, Dursun S, Bootsma G, et al. Reporting of Incidence and Outcome of Bone Metastases in Clinical Trials Enrolling Patients with Epidermal Growth Factor Receptor Mutated Lung Adenocarcinoma-A Systematic Review. Cancers (Basel). 2021;13:3144. doi: 10.3390/cancers13133144
- Tanjak P, Suktitipat B, Vorasan N, et al. Risks and cancer associations of metachronous and synchronous multiple primary cancers: a 25-year retrospective study. BMC Cancer. 2021;21(1):1045. doi: 10.1186/s12885-021-08766-9
- Vogt A, Schmid S, Heinimann K, et al. Multiple primary tumours: challenges and approaches, a review. ESMO Open. 2017;2(2):e000172. doi: 10.1136/esmoopen-2017-000172
- Практические рекомендации Российского общества клинической онкологии по оказанию онкологической помощи в условиях пандемии COVID-19. Режим доступа: https://www.rosoncoweb.ru/standarts/COVID-19/ Ссылка активна на 24.01.2022 [Prakticheskie rekomendatsii Rossiiskogo obshchestva klinicheskoi onkologii po okazaniiu onkologicheskoi pomoshchi v usloviiakh pandemii COVID-19. Available at: https://www.rosoncoweb.ru/standarts/COVID-19/ Accessed: 24.01.2022 (in Russian)].
- NCCN COVID-19 Resources. Available at: https://www.nccn.org/covid-19/ Accessed: 24.03.2022.
- Cancer patient management during the COVID-19 pandemic. Available at: https://www.esmo.org/covid-19-and-cancer/covid-19-resource-centre/cancer-patient-management-during-the-covid-19-pandemic/ Accessed: 24.03.2022.
- ESMO management and treatment adapted recommendations in the COVID-19 era: lung cancer. Available at: https://www.esmo.org/guidelines/cancer-patient-management-during-the-covid-19-pandemic/lung-cancer-in-the-covid-19-era/ Accessed: 24.01.2022
- Lung Cancer Study Group, Chinese Thoracic Society, Chinese Medical Association; Chinese Respiratory Oncology Collaboration Expert recommendations on the management of patients with advanced non-small cell lung cancer during epidemic of coronavirus disease 2019 (Trial version) (in Chinese). Zhonghua Jie He He Hu Xi Za Zhi. 2020;43(4):297-301. doi: 10.3760/cma.j.cn112147-20200221-00138
Supplementary files








